Antibody data
- Antibody Data
- Antigen structure
- References [1]
- Comments [0]
- Validations
- Western blot [1]
- Immunohistochemistry [1]
Submit
Validation data
Reference
Comment
Report error
- Product number
- NBP2-13840 - Provider product page

- Provider
- Novus Biologicals
- Product name
- Rabbit Polyclonal Creatine kinase MT 1A Antibody
- Antibody type
- Polyclonal
- Description
- Immunogen affinity purified. Specificity of human Creatine kinase MT 1A antibody verified on a Protein Array containing target protein plus 383 other non-specific proteins.
- Reactivity
- Human
- Host
- Rabbit
- Isotype
- IgG
- Vial size
- 0.1 ml
- Storage
- Store at 4C short term. Aliquot and store at -20C long term. Avoid freeze-thaw cycles.
Submitted references CKMT1 and NCOA1 expression as a predictor of clinical outcome in patients with advanced-stage head and neck squamous cell carcinoma.
Pavón MA, Parreño M, Téllez-Gabriel M, León X, Arroyo-Solera I, López M, Céspedes MV, Casanova I, Gallardo A, López-Pousa A, Mangues MA, Quer M, Barnadas A, Mangues R
Head & neck 2016 Apr;38 Suppl 1:E1392-403
Head & neck 2016 Apr;38 Suppl 1:E1392-403
No comments: Submit comment
Supportive validation
- Submitted by
- Novus Biologicals (provider)
- Main image

- Experimental details
- Western Blot: Creatine kinase MT 1A Antibody [NBP2-13840] - Lane 1: Marker [kDa] 250, 130, 95, 72, 55, 36, 28, 17, 10. Lane 2: Human cell line RT-4
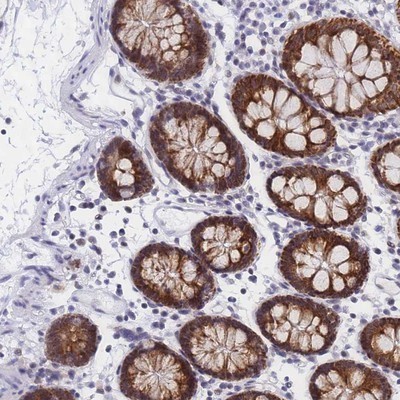
Supportive validation
- Submitted by
- Novus Biologicals (provider)
- Main image

- Experimental details
- Immunohistochemistry-Paraffin: Creatine kinase MT 1A Antibody [NBP2-13840] - Staining of human colon shows strong cytoplasmic positivity in glandular cells.