Antibody data
- Antibody Data
- Antigen structure
- References [0]
- Comments [0]
- Validations
- Immunohistochemistry [1]
Submit
Validation data
Reference
Comment
Report error
- Product number
- AM32762PU-N - Provider product page

- Provider
- Acris Antibodies GmbH
- Product name
- anti Neurotrophin 4 / NTF4
- Antibody type
- Monoclonal
- Antigen
- Recombinant Human NT4.
- Reactivity
- Human, Rat
- Host
- Mouse
- Isotype
- IgG
- Antibody clone number
- 5A12.2
- Vial size
- 0.1 mg
- Concentration
- 1.0 mg/ml
No comments: Submit comment
Supportive validation
- Submitted by
- Acris Antibodies GmbH (provider)
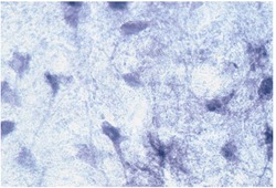
- Main image

- Experimental details
- Mouse anti-Neurotrophin 4 / NTF4 Antibody Cat.-No AM32762PU-N staining of NT4/5 in injured spinal cord of Rat.