Antibody data
- Antibody Data
- Antigen structure
- References [0]
- Comments [0]
- Validations
- Immunohistochemistry [1]
Submit
Validation data
Reference
Comment
Report error
- Product number
- NBP2-30735 - Provider product page

- Provider
- Novus Biologicals
- Product name
- Rabbit Polyclonal C6orf141 Antibody
- Antibody type
- Polyclonal
- Description
- Immunogen affinity purified. Specificity of human C6orf141 antibody verified on a Protein Array containing target protein plus 383 other non-specific proteins.
- Reactivity
- Human
- Host
- Rabbit
- Isotype
- IgG
- Vial size
- 0.1 ml
- Storage
- Store at 4C short term. Aliquot and store at -20C long term. Avoid freeze-thaw cycles.
No comments: Submit comment
Supportive validation
- Submitted by
- Novus Biologicals (provider)
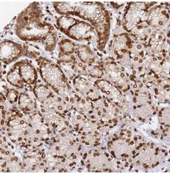
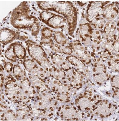
- Main image

- Experimental details
- Immunohistochemistry: C6orf141 Antibody [NBP2-30735] - Staining of human stomach, lower shows strong nuclear membranous and cytoplasmic positivity in glandular cells.