Antibody data
- Antibody Data
- Antigen structure
- References [0]
- Comments [0]
- Validations
- Immunohistochemistry [6]
Submit
Validation data
Reference
Comment
Report error
- Product number
- LS-C394511 - Provider product page

- Provider
- LSBio
- Product name
- C6orf141 Antibody LS-C394511
- Antibody type
- Polyclonal
- Description
- Protein G purified
- Reactivity
- Human
- Host
- Rabbit
- Isotype
- IgG
- Storage
- Short term: -20°C; Long term: -80°C; Avoid freeze-thaw cycles.
No comments: Submit comment
Supportive validation
- Submitted by
- LSBio (provider)
- Enhanced method
- Genetic validation
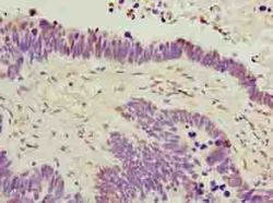
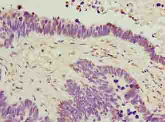
- Main image

- Experimental details
- Immunohistochemistry of paraffin-embedded human gastric cancer using antibody at dilution of 1:100.
- Submitted by
- LSBio (provider)
- Enhanced method
- Genetic validation
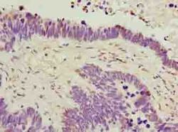
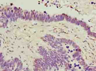
- Main image

- Experimental details
- Immunohistochemistry of paraffin-embedded human ovarian cancer using antibody at dilution of 1:100.
- Submitted by
- LSBio (provider)
- Enhanced method
- Genetic validation
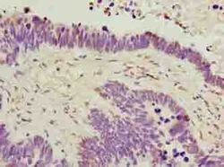
- Main image

- Experimental details
- Immunohistochemistry of paraffin-embedded human gastric cancer using antibody at dilution of 1:100.
- Submitted by
- LSBio (provider)
- Enhanced method
- Genetic validation
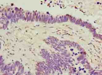
- Main image

- Experimental details
- Immunohistochemistry of paraffin-embedded human ovarian cancer using antibody at dilution of 1:100.
- Submitted by
- LSBio (provider)
- Enhanced method
- Genetic validation
- Main image

- Experimental details
- Immunohistochemistry of paraffin-embedded human gastric cancer using antibody at dilution of 1:100.
- Submitted by
- LSBio (provider)
- Enhanced method
- Genetic validation
- Main image

- Experimental details
- Immunohistochemistry of paraffin-embedded human ovarian cancer using antibody at dilution of 1:100.