Antibody data
- Antibody Data
- Antigen structure
- References [0]
- Comments [0]
- Validations
- Immunohistochemistry [4]
Submit
Validation data
Reference
Comment
Report error
- Product number
- PA5-62925 - Provider product page

- Provider
- Invitrogen Antibodies
- Product name
- FER1L6 Polyclonal Antibody
- Antibody type
- Polyclonal
- Antigen
- Recombinant protein fragment
- Description
- Immunogen sequence: QPGHDISDSL TATESSGAHS SSQDPPADHI YVDVEPPPTV VPDSAQAQPA ILVDVPDSSP MLEPEHTPVA QEPPKDGKPK D Highest antigen sequence identity to the following orthologs: Mouse - 74%, Rat - 67%.
- Reactivity
- Human
- Host
- Rabbit
- Isotype
- IgG
- Vial size
- 100 μL
- Concentration
- 0.70 mg/mL
- Storage
- Store at 4°C short term. For long term storage, store at -20°C, avoiding freeze/thaw cycles.
No comments: Submit comment
Supportive validation
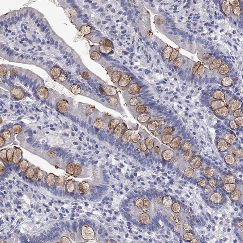
- Submitted by
- Invitrogen Antibodies (provider)
- Main image

- Experimental details
- Immunohistochemical analysis of FER1L6 in human small intestine using FER1L6 Polyclonal Antibody (Product # PA5-62925) shows strong membranous positivity in goblet cells.
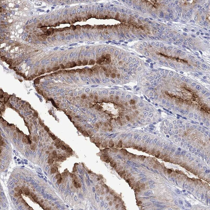
- Submitted by
- Invitrogen Antibodies (provider)
- Main image

- Experimental details
- Immunohistochemical analysis of FER1L6 in human stomach using FER1L6 Polyclonal Antibody (Product # PA5-62925) shows strong membranous positivity in glandular cells.
- Submitted by
- Invitrogen Antibodies (provider)
- Main image

- Experimental details
- Immunohistochemical analysis of FER1L6 in human liver using FER1L6 Polyclonal Antibody (Product # PA5-62925) shows no positivity in hepatocytes as expected.
- Submitted by
- Invitrogen Antibodies (provider)
- Main image

- Experimental details
- Immunohistochemical analysis of FER1L6 in human tonsil using FER1L6 Polyclonal Antibody (Product # PA5-62925) shows no positivity in non-germinal center cells as expected.