Antibody data
- Antibody Data
 - Antigen structure
 - References [0]
 - Comments [0]
 - Validations
 - Western blot [1]
 - Immunohistochemistry [3]
 
Submit
Validation data
Reference
Comment
Report error
- Product number
 - R31781 - Provider product page

 - Provider
 - NSJ Bioreagents
 - Product name
 - FXYD1 Antibody
 - Antibody type
 - Polyclonal
 - Description
 - This highly specific FXYD1 antibody is suitable for use in Western blot/Immunohistochemistry applications with human, mouse and rat samples.
 - Reactivity
 - Human, Mouse, Rat
 - Host
 - Rabbit
 - Conjugate
 - Unconjugated
 - Vial size
 - 100 ug
 - Concentration
 - 0.5mg/ml if reconstituted with 0.2ml sterile DI water
 - Storage
 - After reconstitution, the FXYD1 antibody can be stored for up to one month at 4oC. For long-term, aliquot and store at -20oC. Avoid repeated freezing and thawing.
 
				No comments: Submit comment	
	
			
							
					Supportive validation
					
									
				
				- Submitted by
 - NSJ Bioreagents (provider)
 - Main image
 
- Experimental details
 - Western blot testing of 1) rat liver, 2) rat heart, 3) mouse heart, 4) human HepG2 and 5) human HeLa lysate with FXYD1 antibody. Expected/observed molecular weight ~10 kDa.
 
							
					Supportive validation
					
									
				
		- Submitted by
 - NSJ Bioreagents (provider)
 - Main image
 
- Experimental details
 - IHC testing of FFPE human prostate cancer tissue with FXYD1 antibody. HIER: Boil the paraffin sections in pH 6, 10mM citrate buffer for 20 minutes and allow to cool prior to staining.
 
- Submitted by
 - NSJ Bioreagents (provider)
 - Main image
 
- Experimental details
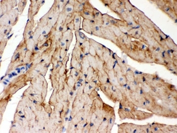
 - IHC testing of FFPE mouse heart with FXYD1 antibody. HIER: Boil the paraffin sections in pH 6, 10mM citrate buffer for 20 minutes and allow to cool prior to staining.
 
- Submitted by
 - NSJ Bioreagents (provider)
 - Main image
 
- Experimental details
 - IHC testing of FFPE rat heart with FXYD1 antibody. HIER: Boil the paraffin sections in pH 6, 10mM citrate buffer for 20 minutes and allow to cool prior to staining.