Antibody data
- Antibody Data
- Antigen structure
- References [0]
- Comments [0]
- Validations
- Western blot [1]
- Immunohistochemistry [1]
Submit
Validation data
Reference
Comment
Report error
- Product number
- GTX83306 - Provider product page

- Provider
- GeneTex
- Proper citation
- GeneTex Cat#GTX83306, RRID:AB_11165126
- Product name
- PGA5 antibody [2C1]
- Antibody type
- Monoclonal
- Reactivity
- Human
- Host
- Mouse
No comments: Submit comment
Supportive validation
- Submitted by
- GeneTex (provider)
- Main image

- Experimental details
- Western blot analysis using anti-PGA5 monoclonal antibody against HepG2 (1) and SMMC-7721 (2) cell lysate.
- Validation comment
- WB
Supportive validation
- Submitted by
- GeneTex (provider)
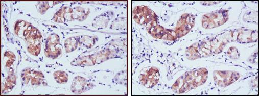
- Main image

- Experimental details
- Immunohistochemical analysis of paraffin-embedded human stomach cancer tissues using anti-PGA5 antibody with DAB staining.