Antibody data
- Antibody Data
- Antigen structure
- References [1]
- Comments [0]
- Validations
- Immunohistochemistry [3]
- Other assay [1]
Submit
Validation data
Reference
Comment
Report error
- Product number
- PA5-63051 - Provider product page

- Provider
- Invitrogen Antibodies
- Product name
- FOCAD Polyclonal Antibody
- Antibody type
- Polyclonal
- Antigen
- Recombinant protein fragment
- Description
- Immunogen sequence: NWAALLSPLM RLNFGEEIQQ LCLEIMVTQA QSSQNAAALL GLWVTPPLIH SLSLNTKRYL LISAPLWIKH ISDEQILGFV ENLMVAVFKA ASPLGSPELC PSALHGLSQA MKLPSPAHHL WSLLSEA Highest antigen sequence identity to the following orthologs: Mouse - 80%, Rat - 80%.
- Reactivity
- Human
- Host
- Rabbit
- Isotype
- IgG
- Vial size
- 100 μL
- Concentration
- 0.2 mg/mL
- Storage
- Store at 4°C short term. For long term storage, store at -20°C, avoiding freeze/thaw cycles.
Submitted references NRF2 regulates the sensitivity of human NSCLC cells to cystine deprivation-induced ferroptosis via FOCAD-FAK signaling pathway.
Liu P, Wu D, Duan J, Xiao H, Zhou Y, Zhao L, Feng Y
Redox biology 2020 Oct;37:101702
Redox biology 2020 Oct;37:101702
No comments: Submit comment
Supportive validation
- Submitted by
- Invitrogen Antibodies (provider)
- Main image

- Experimental details
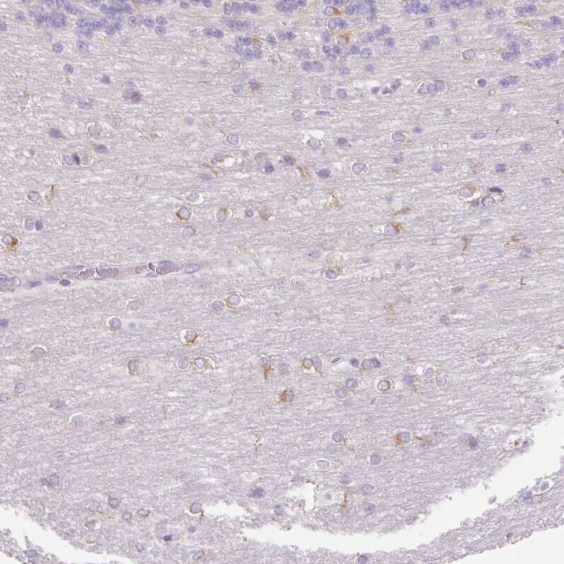
- Immunohistochemical analysis of FOCAD in human Cerebellum using FOCAD Polyclonal Antibody (Product # PA5-63051) shows weak cytoplasmic positivity in neuronal cells.
- Submitted by
- Invitrogen Antibodies (provider)
- Main image

- Experimental details
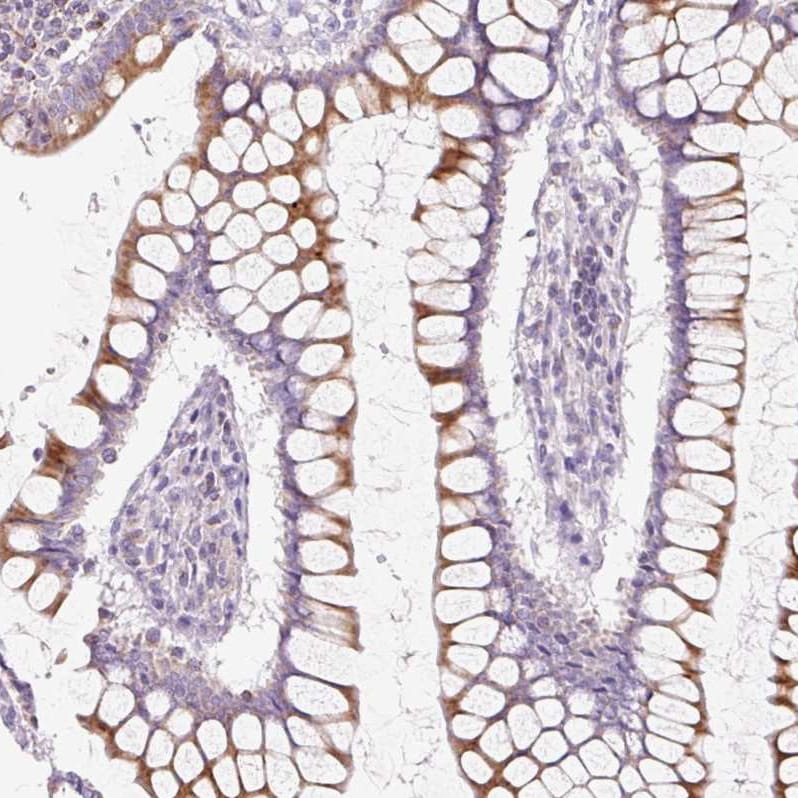
- Immunohistochemical analysis of FOCAD in human Colon using FOCAD Polyclonal Antibody (Product # PA5-63051) shows moderate cytoplasmic and membranous positivity in glandular cells.
- Submitted by
- Invitrogen Antibodies (provider)
- Main image

- Experimental details
- Immunohistochemical analysis of FOCAD in human Skeletal muscle using FOCAD Polyclonal Antibody (Product # PA5-63051) shows strong cytoplasmic positivity in myocytes.
Supportive validation
- Submitted by
- Invitrogen Antibodies (provider)
- Main image

- Experimental details
- Fig. 1 The expression of NRF2 and FOCAD in human NSCLC tissues. The cancer tissues and paracancer tissues from 6 NSCLC patients (Patient-001 to Patient-006) were harvested for NRF2 and FOCAD via IHC staining (A). In the negative control, non-specific IgG was used to replace the first antibody. The cancer slice from patient-001 was used in the negative control of NRF2 staining (A1), and the paracancer slice from patient-001 was used in the negative control of FOCAD staining (A2). The relative intensity of NRF2 (B) and FOCAD (C) were calculated respectively, and the level in Cancer group was considered as ""1"". Results were expressed as mean +- SD, and the P value less than 0.05 was considered statistically significant. *: P < 0.05 compared between cancer tissue and paracancer. Fig. 1