Antibody data
- Antibody Data
- Antigen structure
- References [0]
- Comments [0]
- Validations
- Immunohistochemistry [4]
Submit
Validation data
Reference
Comment
Report error
- Product number
- MA5-24614 - Provider product page

- Provider
- Invitrogen Antibodies
- Product name
- NECAB1 Monoclonal Antibody (CL0575)
- Antibody type
- Monoclonal
- Antigen
- Recombinant full-length protein
- Description
- Immunogen sequence: LLKETLNQLQ SLQNSLECAM ETTEEQTRQE RQGPAKPEVL SIQWPGKRSS RRVQRHNSFS PNSP Highest antigen sequence identity to the following orthologs: Mouse - 98%, Rat - 98%. Binds to an epitope located within the peptide sequence SIQWPGKRSS as determined by overlapping synthetic peptides.
- Reactivity
- Human
- Host
- Mouse
- Isotype
- IgG
- Antibody clone number
- CL0575
- Vial size
- 100 μL
- Concentration
- 1 mg/mL
- Storage
- Store at 4°C short term. For long term storage, store at -20°C, avoiding freeze/thaw cycles.
No comments: Submit comment
Supportive validation
- Submitted by
- Invitrogen Antibodies (provider)
- Main image

- Experimental details
- Immunohistochemical analysis of NECAB1 in human cerebellum using NECAB1 Monoclonal Antibody (CL0575) (Product # MA5-24614) shows moderate cytoplasmic positivity in neurons.
- Submitted by
- Invitrogen Antibodies (provider)
- Main image

- Experimental details
- Immunohistochemical analysis of NECAB1 in human cerebral cortex using NECAB1 Monoclonal Antibody (CL0575) (Product # MA5-24614) shows strong cytoplasmic positivity in neurons.
- Submitted by
- Invitrogen Antibodies (provider)
- Main image

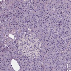
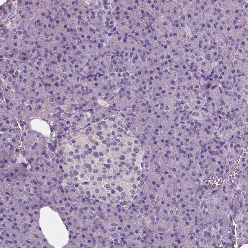
- Experimental details
- Immunohistochemical analysis of NECAB1 in human pancreas using NECAB1 Monoclonal Antibody (CL0575) (Product # MA5-24614) shows no positivity in exocrine glandular cells as expected.
- Submitted by
- Invitrogen Antibodies (provider)
- Main image

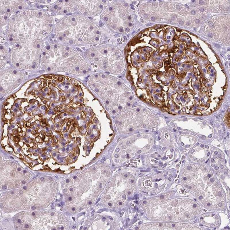
- Experimental details
- Immunohistochemical analysis of NECAB1 in human kidney using NECAB1 Monoclonal Antibody (CL0575) (Product # MA5-24614) shows strong cytoplasmic positivity in cells in glomeruli.