Antibody data
- Antibody Data
- Antigen structure
- References [0]
- Comments [0]
- Validations
- Immunohistochemistry [1]
Submit
Validation data
Reference
Comment
Report error
- Product number
- PA5-62811 - Provider product page

- Provider
- Invitrogen Antibodies
- Product name
- TMEM89 Polyclonal Antibody
- Antibody type
- Polyclonal
- Antigen
- Recombinant protein fragment
- Description
- Immunogen sequence: RPLWYQVGLD LQPWGCQPKS VEGCRGGLSC PGYWLGPGA Highest antigen sequence identity to the following orthologs: Mouse - 59%, Rat - 72%.
- Reactivity
- Human
- Host
- Rabbit
- Isotype
- IgG
- Vial size
- 100 μL
- Concentration
- 0.1 mg/mL
- Storage
- Store at 4°C short term. For long term storage, store at -20°C, avoiding freeze/thaw cycles.
No comments: Submit comment
Supportive validation
- Submitted by
- Invitrogen Antibodies (provider)
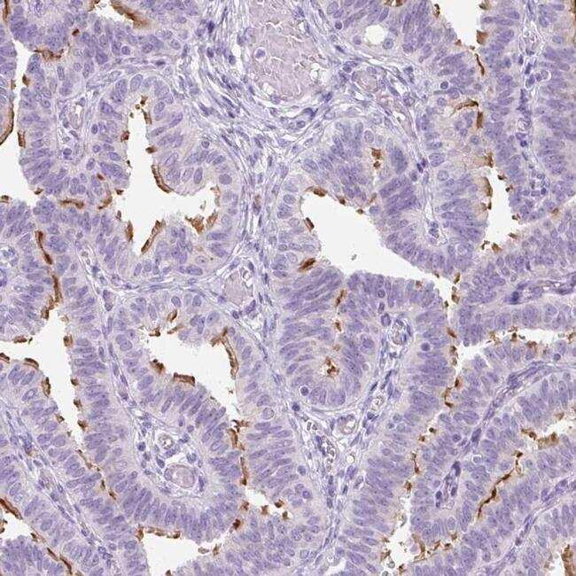
- Main image

- Experimental details
- Immunohistochemical analysis of TMEM89 in human fallopian tube using TMEM89 Polyclonal Antibody (Product # PA5-62811) shows strong membranous positivity in glandular cells.