Antibody data
- Antibody Data
- Antigen structure
- References [0]
- Comments [0]
- Validations
- Western blot [2]
- Immunocytochemistry [1]
- Immunohistochemistry [1]
Submit
Validation data
Reference
Comment
Report error
- Product number
- GTX50605 - Provider product page

- Provider
- GeneTex
- Proper citation
- GeneTex Cat#GTX50605, RRID:AB_11162869
- Product name
- PKC delta antibody
- Antibody type
- Polyclonal
- Reactivity
- Human, Rat
- Host
- Rabbit
No comments: Submit comment
Supportive validation
- Submitted by
- GeneTex (provider)
- Main image

- Experimental details
- Western blot analysis of extracts from PC12 cells using PKC delta Antibody (GTX50605).
- Submitted by
- GeneTex (provider)
- Main image

- Experimental details
- Western blot analysis of extracts from PC12 cells using PKCd (Ab-645) Antibody GTX50605.
Supportive validation
- Submitted by
- GeneTex (provider)
- Main image

- Experimental details
- Immunofluorescence staining of methanol-fixed Hela cells using PKC delta Antibody (GTX50605).
Supportive validation
- Submitted by
- GeneTex (provider)
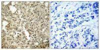
- Main image

- Experimental details
- Immunohistochemical analysis of paraffin-embedded human breast carcinoma tissue using PKC delta Antibody (GTX50605) (left) or the same antibody preincubated with blocking peptide (right).