Antibody data
- Antibody Data
- Antigen structure
- References [1]
- Comments [0]
- Validations
- Western blot [1]
- Immunohistochemistry [8]
Submit
Validation data
Reference
Comment
Report error
- Product number
- NBP2-33524 - Provider product page

- Provider
- Novus Biologicals
- Product name
- Rabbit Polyclonal Calreticulin-2/CALR3 Antibody
- Antibody type
- Polyclonal
- Description
- Immunogen affinity purified. Specificity of human Calreticulin-2/CALR3 antibody verified on a Protein Array containing target protein plus 383 other non-specific proteins.
- Reactivity
- Human
- Host
- Rabbit
- Isotype
- IgG
- Vial size
- 0.1 ml
- Storage
- Store at 4C short term. Aliquot and store at -20C long term. Avoid freeze-thaw cycles.
Submitted references Lack of ADAM2, CALR3 and SAGE1 Cancer/Testis Antigen Expression in Lung and Breast Cancer.
Maheswaran E, Pedersen CB, Ditzel HJ, Gjerstorff MF
PloS one 2015;10(8):e0134967
PloS one 2015;10(8):e0134967
No comments: Submit comment
Supportive validation
- Submitted by
- Novus Biologicals (provider)
- Main image

- Experimental details
- Western Blot: Calreticulin-2/CALR3 Antibody [NBP2-33524] - Lane 1: Marker [kDa] 250, 130, 95, 72, 55, 36, 28, 17, 10. Lane 2: Human cell line RT-4
Supportive validation
- Submitted by
- Novus Biologicals (provider)
- Main image

- Experimental details
- Immunohistochemistry-Paraffin: Calreticulin-2/CALR3 Antibody [NBP2-33524] - Staining of human endometrium shows low expression as expected.
- Submitted by
- Novus Biologicals (provider)
- Main image

- Experimental details
- Immunohistochemistry-Paraffin: Calreticulin-2/CALR3 Antibody [NBP2-33524] - Staining of human testis shows high expression.
- Submitted by
- Novus Biologicals (provider)
- Main image

- Experimental details
- Immunohistochemistry-Paraffin: Calreticulin-2/CALR3 Antibody [NBP2-33524] - Staining of human liver.
- Submitted by
- Novus Biologicals (provider)
- Main image

- Experimental details
- Immunohistochemistry-Paraffin: Calreticulin-2/CALR3 Antibody [NBP2-33524] - Staining in human testis and endometrium tissues using anti-CALR3 antibody. Corresponding CALR3 RNA-seq data are presented for the same tissues.
- Submitted by
- Novus Biologicals (provider)
- Main image

- Experimental details
- Immunohistochemistry-Paraffin: Calreticulin-2/CALR3 Antibody [NBP2-33524] - Staining of human colon, kidney, liver and testis using Anti-CALR3 antibody NBP2-33524 (A) shows similar protein distribution across tissues to independent antibody NBP2-33390 (B).
- Submitted by
- Novus Biologicals (provider)
- Main image

- Experimental details
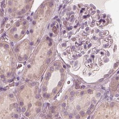
- Immunohistochemistry-Paraffin: Calreticulin-2/CALR3 Antibody [NBP2-33524] - Staining of human kidney.
- Submitted by
- Novus Biologicals (provider)
- Main image

- Experimental details
- Immunohistochemistry-Paraffin: Calreticulin-2/CALR3 Antibody [NBP2-33524] - Immunohistochemical staining of CT antigens in normal tissues. Among 22 normal tissues (see materials and methods), ADAM2, CALR3 (shown in image), SAGE1 and MAGE-A proteins were only detected in the germ cells of the testis. More specifically, SAGE-1 and MAGE-A were found in spermatogonia, while ADAM2 and CALR3 were present in post-meiotic germ cells. Only MAGE-A proteins were detected in placenta (all pictures magnification x20). Image collected and cropped by CiteAb from the following publication (http://dx.plos.org/10.1371/journal.pone.0134967), licensed under a CC-BY licence.
- Submitted by
- Novus Biologicals (provider)
- Main image

- Experimental details
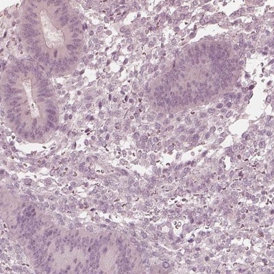
- Immunohistochemistry-Paraffin: Calreticulin-2/CALR3 Antibody [NBP2-33524] - Staining of human colon.