Antibody data
- Antibody Data
- Antigen structure
- References [1]
- Comments [0]
- Validations
- Western blot [1]
- Immunohistochemistry [1]
Submit
Validation data
Reference
Comment
Report error
- Product number
- 24429-1-AP - Provider product page

- Provider
- Proteintech Group
- Product name
- TEX38 antibody
- Antibody type
- Polyclonal
- Description
- TEX38 antibody (Cat. #24429-1-AP) is a rabbit polyclonal antibody that shows reactivity with human, mouse and has been validated for the following applications: IHC, WB,ELISA.
- Reactivity
- Human, Mouse
- Host
- Rabbit
- Conjugate
- Unconjugated
- Isotype
- IgG
- Vial size
- 20ul, 150ul
Submitted references Deciphering the Molecular Characteristics of Human Idiopathic Nonobstructive Azoospermia from the Perspective of Germ Cells.
Chen Y, Liu X, Zhang L, Zhu F, Yan L, Tang W, Zhang Z, Liu Q, Jiang H, Qiao J
Advanced science (Weinheim, Baden-Wurttemberg, Germany) 2023 Jun;10(17):e2206852
Advanced science (Weinheim, Baden-Wurttemberg, Germany) 2023 Jun;10(17):e2206852
No comments: Submit comment
Supportive validation
- Submitted by
- Proteintech Group (provider)
- Main image

- Experimental details
- mouse testis tissue were subjected to SDS PAGE followed by western blot with 24429-1-AP( C1orf223 Antibody) at dilution of 1:600
- Sample type
- tissue
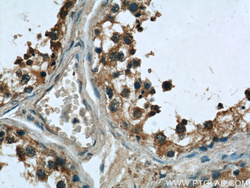
Supportive validation
- Submitted by
- Proteintech Group (provider)
- Main image

- Experimental details
- The TEX38 antibody from Proteintech is a rabbit polyclonal antibody to a fusion protein of human TEX38. This antibody recognizes human, mouse antigen. The TEX38 antibody has been validated for the following applications: ELISA, WB, IHC analysis.