Antibody data
- Antibody Data
- Antigen structure
- References [0]
- Comments [0]
- Validations
- Immunohistochemistry [3]
Submit
Validation data
Reference
Comment
Report error
- Product number
- PA5-63829 - Provider product page

- Provider
- Invitrogen Antibodies
- Product name
- Anti-LCNL1 Polyclonal Antibody
- Antibody type
- Polyclonal
- Antigen
- Recombinant full-length protein
- Description
- Immunogen sequence: MVGVVSDDQD FLDSKDTMKM AVVLVTPLGN GDLALKFGYP TPHGGCQKMD TTFTEGAVPG QFSNPAMALS D Highest antigen sequence identity to the following orthologs: Mouse - 27%, Rat - 27%.
- Reactivity
- Human
- Host
- Rabbit
- Isotype
- IgG
- Vial size
- 100 µl
- Concentration
- Lot-Specific
- Storage
- Store at 4°C short term. For long term storage, store at -20°C, avoiding freeze/thaw cycles.
No comments: Submit comment
Supportive validation
- Submitted by
- Invitrogen Antibodies (provider)
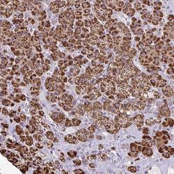
- Main image

- Experimental details
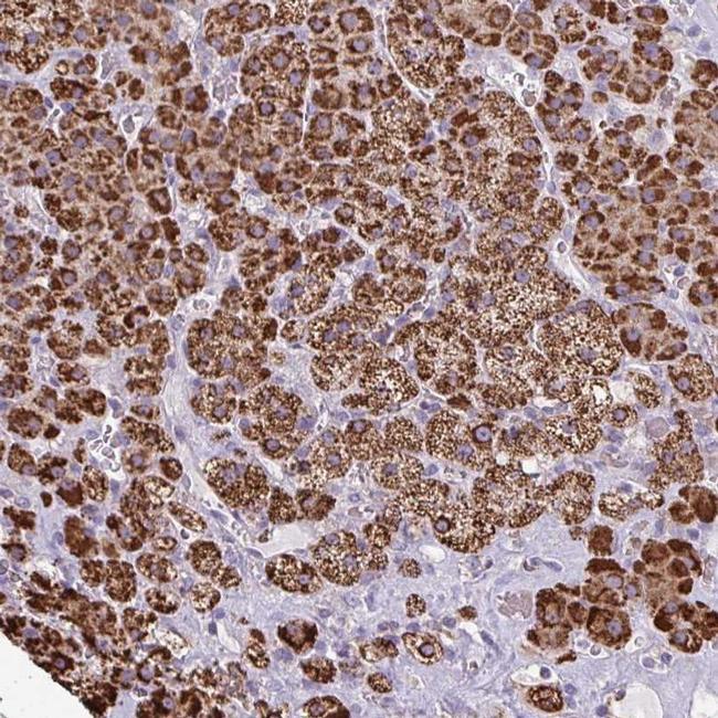
- Immunohistochemical staining of LCNL1 in human adrenal gland tissue shows strong granular cytoplasmic positivity in glandular cells. Samples were probed using a LCNL1 Polyclonal Antibody (Product # PA5-63829).
- Submitted by
- Invitrogen Antibodies (provider)
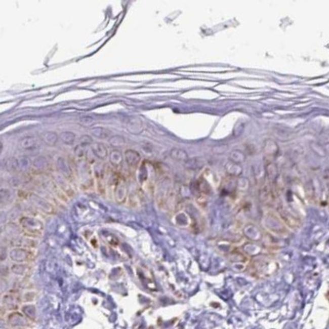
- Main image

- Experimental details
- Immunohistochemical staining of LCNL1 in human skin. Samples were probed using a LCNL1 Polyclonal Antibody (Product # PA5-63829).
- Submitted by
- Invitrogen Antibodies (provider)
- Main image

- Experimental details
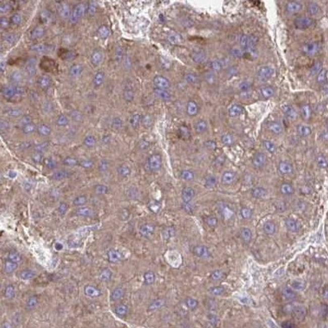
- Immunohistochemical staining of LCNL1 in human liver cancer tissue. Samples were probed using a LCNL1 Polyclonal Antibody (Product # PA5-63829).