Antibody data
- Antibody Data
- Antigen structure
- References [0]
- Comments [0]
- Validations
- Western blot [1]
- Immunohistochemistry [5]
Submit
Validation data
Reference
Comment
Report error
- Product number
- LS-C782776 - Provider product page

- Provider
- LSBio
- Product name
- THY1 / CD90 Antibody LS-C782776
- Antibody type
- Polyclonal
- Description
- Antigen Affinity purification
- Reactivity
- Mouse, Rat
- Host
- Rabbit
- Isotype
- IgG
- Storage
- After reconstitution, store at 4°C for up to 1 month. Long-term: aliquot and store at -20°C. Avoid freeze-thaws cycles.
No comments: Submit comment
Enhanced validation
- Submitted by
- LSBio (provider)
- Enhanced method
- Genetic validation
- Main image

- Experimental details
- Western blot testing of 1) mouse brain, 2) (m) thymus, 3) (m) lung, and 4) rat thymus lysate with CD90 antibody. Predicted molecular weight 18~35kDa depending on glycosylation level.
Enhanced validation
- Submitted by
- LSBio (provider)
- Enhanced method
- Genetic validation
- Main image

- Experimental details
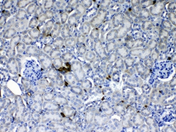
- IHC testing of FFPE mouse kidney tissue with CD90 antibody. Required HIER: steam section in pH6 citrate buffer for 20 min and allow to cool prior to testing.
- Submitted by
- LSBio (provider)
- Enhanced method
- Genetic validation
- Main image

- Experimental details
- IHC testing of FFPE mouse kidney tissue with CD90 antibody. Required HIER: steam section in pH6 citrate buffer for 20 min and allow to cool prior to testing.
- Submitted by
- LSBio (provider)
- Enhanced method
- Genetic validation
- Main image

- Experimental details
- IHC testing of FFPE mouse spleen tissue with CD90 antibody. Required HIER: steam section in pH6 citrate buffer for 20 min and allow to cool prior to testing.
- Submitted by
- LSBio (provider)
- Main image

- Experimental details
- IHC testing of FFPE mouse spleen tissue with CD90 antibody. Required HIER: steam section in pH6 citrate buffer for 20 min and allow to cool prior to testing.
- Submitted by
- LSBio (provider)
- Main image

- Experimental details
- IHC testing of FFPE mouse kidney tissue with CD90 antibody. Required HIER: steam section in pH6 citrate buffer for 20 min and allow to cool prior to testing.