Antibody data
- Antibody Data
- Antigen structure
- References [3]
- Comments [0]
- Validations
- Western blot [1]
- Immunohistochemistry [1]
Submit
Validation data
Reference
Comment
Report error
- Product number
- PAB12684 - Provider product page

- Provider
- Abnova Corporation
- Proper citation
- Abnova Corporation Cat#PAB12684, RRID:AB_10549639
- Product name
- FOXP2 polyclonal antibody
- Antibody type
- Polyclonal
- Description
- Rabbit polyclonal antibody raised against synthetic peptide of FOXP2.
- Isotype
- IgG
- Storage
- Store at 4°C. For long term storage store at -20°C or -80°C.Aliquot to avoid repeated freezing and thawing.
Submitted references ATR maintains select progenitors during nervous system development.
Neurogenesis requires TopBP1 to prevent catastrophic replicative DNA damage in early progenitors.
A forkhead-domain gene is mutated in a severe speech and language disorder.
Lee Y, Shull ER, Frappart PO, Katyal S, Enriquez-Rios V, Zhao J, Russell HR, Brown EJ, McKinnon PJ
The EMBO journal 2012 Mar 7;31(5):1177-89
The EMBO journal 2012 Mar 7;31(5):1177-89
Neurogenesis requires TopBP1 to prevent catastrophic replicative DNA damage in early progenitors.
Lee Y, Katyal S, Downing SM, Zhao J, Russell HR, McKinnon PJ
Nature neuroscience 2012 Jun;15(6):819-26
Nature neuroscience 2012 Jun;15(6):819-26
A forkhead-domain gene is mutated in a severe speech and language disorder.
Lai CS, Fisher SE, Hurst JA, Vargha-Khadem F, Monaco AP
Nature 2001 Oct 4;413(6855):519-23
Nature 2001 Oct 4;413(6855):519-23
No comments: Submit comment
Supportive validation
- Submitted by
- Abnova Corporation (provider)
- Main image

- Experimental details
- FOXP2 polyclonal antibody (Cat # PAB12684) staining of mouse brain (Lane 1) and mouse lung (Lane 2) lysate at 2.5 ug/mL , RT 1 hour.
Supportive validation
- Submitted by
- Abnova Corporation (provider)
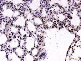
- Main image

- Experimental details
- FOXP2 polyclonal antibody (Cat # PAB12684) staining formalin-fixed paraffin-embedded mouse lung tissue (10 ug/mL).
- Validation comment
- Immunohistochemistry (Formalin/PFA-fixed paraffin-embedded sections)