Antibody data
- Antibody Data
- Antigen structure
- References [0]
- Comments [0]
- Validations
- Immunocytochemistry [3]
- Immunohistochemistry [4]
Submit
Validation data
Reference
Comment
Report error
- Product number
- PA5-63705 - Provider product page

- Provider
- Invitrogen Antibodies
- Product name
- ZDHHC12 Polyclonal Antibody
- Antibody type
- Polyclonal
- Antigen
- Recombinant protein fragment
- Description
- Immunogen sequence: MDPGYVNVQP QPQEELKEEQ TAMVPPAIPL RRCRYCLVLQ PLRARHCREC RRCVRRY Highest antigen sequence identity to the following orthologs: Mouse - 84%, Rat - 93%.
- Reactivity
- Human
- Host
- Rabbit
- Isotype
- IgG
- Vial size
- 100 μL
- Concentration
- 0.05 mg/mL
- Storage
- Store at 4°C short term. For long term storage, store at -20°C, avoiding freeze/thaw cycles.
No comments: Submit comment
Supportive validation
- Submitted by
- Invitrogen Antibodies (provider)
- Main image

- Experimental details
- Immunofluorescent staining of ZDHHC12 in human cell line U-2 OS shows positivity in nucleus. Samples were probed using a ZDHHC12 Polyclonal Antibody (Product # PA5-63705).
- Submitted by
- Invitrogen Antibodies (provider)
- Main image

- Experimental details
- Immunofluorescent staining of ZDHHC12 in human cell line MCF7 using a ZDHHC12 Polyclonal Antibody (Product # PA5-63705) shows localization to nucleoplasm.
- Submitted by
- Invitrogen Antibodies (provider)
- Main image

- Experimental details
- Immunofluorescent staining of ZDHHC12 in human cell line MCF7 using a ZDHHC12 Polyclonal Antibody (Product # PA5-63705) shows localization to nucleoplasm.
Supportive validation
- Submitted by
- Invitrogen Antibodies (provider)
- Main image

- Experimental details
- Immunohistochemical analysis of ZDHHC12 in human cerebral cortex using ZDHHC12 Polyclonal Antibody (Product # PA5-63705) shows strong nuclear positivity in neurons.
- Submitted by
- Invitrogen Antibodies (provider)
- Main image

- Experimental details
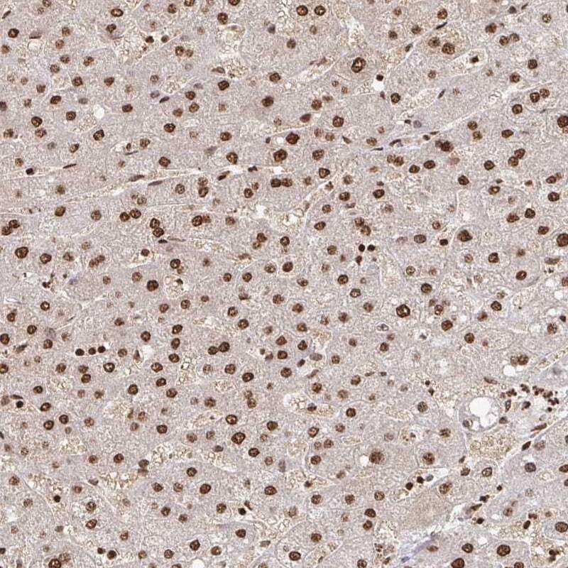
- Immunohistochemical analysis of ZDHHC12 in human liver using ZDHHC12 Polyclonal Antibody (Product # PA5-63705) shows strong nuclear positivity in hepatocytes.
- Submitted by
- Invitrogen Antibodies (provider)
- Main image

- Experimental details
- Immunohistochemical analysis of ZDHHC12 in human lymph node using ZDHHC12 Polyclonal Antibody (Product # PA5-63705) shows strong nuclear positivity in non-germinal center cells.
- Submitted by
- Invitrogen Antibodies (provider)
- Main image

- Experimental details
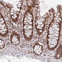
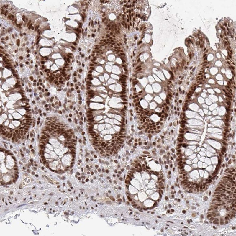
- Immunohistochemical analysis of ZDHHC12 in human colon using ZDHHC12 Polyclonal Antibody (Product # PA5-63705) shows strong nuclear positivity in glandular cells.