Antibody data
- Antibody Data
- Antigen structure
- References [0]
- Comments [0]
- Validations
- Immunocytochemistry [2]
- Immunohistochemistry [1]
Submit
Validation data
Reference
Comment
Report error
- Product number
- PA5-65681 - Provider product page

- Provider
- Invitrogen Antibodies
- Product name
- GOLGA8A Polyclonal Antibody
- Antibody type
- Polyclonal
- Antigen
- Recombinant protein fragment
- Description
- Immunogen sequence: EKEPEAAVPAS GTGGESSGLM DLLE Highest antigen sequence identity to the following orthologs - mouse 46%, rat 46%.
- Reactivity
- Human
- Host
- Rabbit
- Isotype
- IgG
- Vial size
- 100 μL
- Concentration
- 0.2 mg/mL
- Storage
- Store at 4°C short term. For long term storage, store at -20°C, avoiding freeze/thaw cycles.
No comments: Submit comment
Supportive validation
- Submitted by
- Invitrogen Antibodies (provider)
- Main image

- Experimental details
- Immunofluorescent staining of GOLGA8A in human cell line HEK 293 shows localization to cytosol and the Golgi apparatus. Samples were probed using a GOLGA8A Polyclonal Antibody (Product # PA5-65681).
- Submitted by
- Invitrogen Antibodies (provider)
- Main image

- Experimental details
- Immunofluorescent staining of GOLGA8A in human cell line HEK 293 shows localization to cytosol and the Golgi apparatus. Samples were probed using a GOLGA8A Polyclonal Antibody (Product # PA5-65681).
Supportive validation
- Submitted by
- Invitrogen Antibodies (provider)
- Main image

- Experimental details
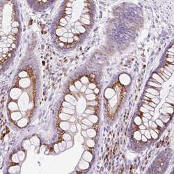
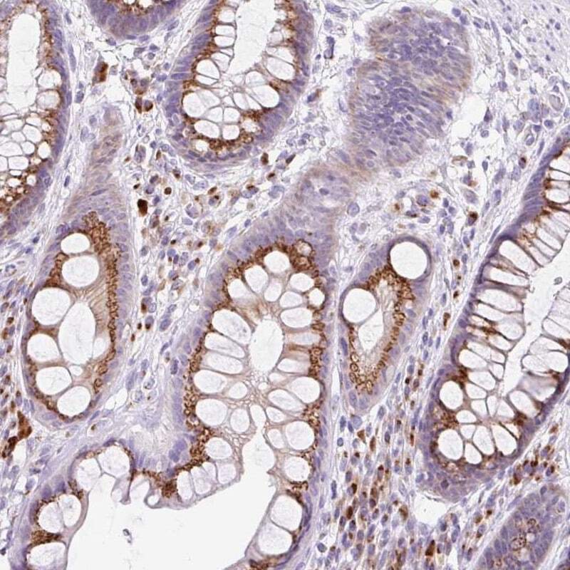
- Immunohistochemical staining of GOLGA8A in human rectum using GOLGA8A Polyclonal Antibody (Product # PA5-65681) shows strong cytoplasmic positivity in glandular cells.