Antibody data
- Antibody Data
- Antigen structure
- References [0]
- Comments [0]
- Validations
- Western blot [1]
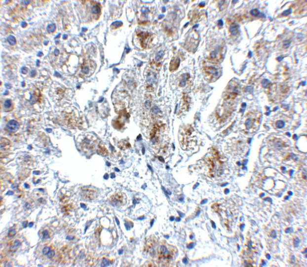
- Immunohistochemistry [1]
Submit
Validation data
Reference
Comment
Report error
- Product number
- ABIN2505246 - Provider product page

- Provider
- antibodies-online
- Product name
- anti-Sel-1 Suppressor of Lin-12-Like 2 (C. Elegans) (SEL1L2) (N-Term) antibody
- Antibody type
- Polyclonal
- Antigen
- The immunogen for Anti-SEL1L2 antibody is: synthetic peptide directed towards the N-terminal region of Human SEL1L2
- Reactivity
- Human
- Host
- Rabbit
- Antigen sequence
GDQLFKMGIK VLQQSKSQKQ KEEAYLLFAK AA
DMGNLKAM EKMADALLFG- Epitope
- N-Term
- Vial size
- 50 μg
- Storage
- Add 50 μl of distilled water. Final Anti-SEL1L2 antibody concentration is 1 mg/mL in PBS buffer with 2 % sucrose. For longer periods of storage, store at -20°C. Avoid repeat freeze-thaw cycles.
- Handling
- Avoid repeat freeze-thaw cycles.
No comments: Submit comment
Supportive validation
- Submitted by
- antibodies-online (provider)
- Main image

- Experimental details
- Image(s): Western Blotting
Supportive validation
- Submitted by
- antibodies-online (provider)
- Main image

- Experimental details
- Image(s): Immunohistochemistry