Antibody data
- Antibody Data
- Antigen structure
- References [0]
- Comments [0]
- Validations
- Immunocytochemistry [1]
- Immunohistochemistry [1]
Submit
Validation data
Reference
Comment
Report error
- Product number
- LS-C180168 - Provider product page

- Provider
- LSBio
- Product name
- SERF1A / SERF1 Antibody LS-C180168
- Antibody type
- Polyclonal
- Description
- Affinity purified
- Reactivity
- Human
- Host
- Rabbit
- Storage
- Short term: store at 4°C. Long term: aliquot and store at -20°C. Avoid freeze-thaw cycles.
No comments: Submit comment
Supportive validation
- Submitted by
- LSBio (provider)
- Main image

- Experimental details
- Immunocytochemistry/Immunofluorescence: SERF1A Antibody - Serf1a antibody was tested in Ntera2 cells with FITC (green). Nuclei were counterstained with DAPI (blue). This image was taken for the unconjugated form of this product. Other forms have not been tested.
Supportive validation
- Submitted by
- LSBio (provider)
- Enhanced method
- Genetic validation
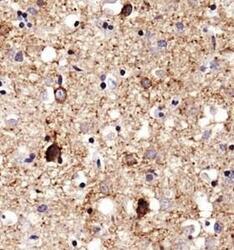
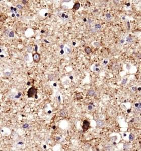
- Main image

- Experimental details
- Immunohistochemistry: SERF1A Antibody - Analysis of SERF1A in human Alzheimer's brain using DAB with hematoxylin counterstain. This image was taken for the unconjugated form of this product. Other forms have not been tested.