Antibody data
- Antibody Data
- Antigen structure
- References [0]
- Comments [0]
- Validations
- Immunohistochemistry [1]
Submit
Validation data
Reference
Comment
Report error
- Product number
- TA309849 - Provider product page

- Provider
- OriGene
- Product name
- Rabbit Polyclonal SERF1A Antibody
- Antibody type
- Polyclonal
- Description
- Rabbit Polyclonal SERF1A Antibody
- Host
- Rabbit
- Conjugate
- Unconjugated
- Epitope
- SERF1A
- Antibody clone number
- NULL
- Vial size
- 100 µl
- Concentration
- 1.14mg/ml
No comments: Submit comment
Supportive validation
- Submitted by
- OriGene (provider)
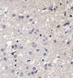
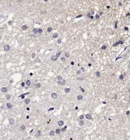
- Main image

- Experimental details
- Immunohistochemistry: SERF1A Antibody - IHC analysis of SERF1A in human Alzheimer's brain using DAB with hematoxylin counterstain.
- Validation comment
- IHC