Antibody data
- Antibody Data
- Antigen structure
- References [0]
- Comments [0]
- Validations
- Immunocytochemistry [1]
- Immunohistochemistry [2]
Submit
Validation data
Reference
Comment
Report error
- Product number
- PA5-72971 - Provider product page

- Provider
- Invitrogen Antibodies
- Product name
- SERF1A Polyclonal Antibody
- Antibody type
- Polyclonal
- Antigen
- Synthetic peptide
- Reactivity
- Human
- Host
- Rabbit
- Isotype
- IgG
- Vial size
- 100 μL
- Concentration
- 1.14 mg/mL
- Storage
- Store at 4°C short term. For long term storage, store at -20°C, avoiding freeze/thaw cycles.
No comments: Submit comment
Supportive validation
- Submitted by
- Invitrogen Antibodies (provider)
- Main image

- Experimental details
- Immunocytochemistry analysis of SERF1A in Ntera cells. Samples were incubated in SERF1A polyclonal antibody (Product # PA5-72971) followed by FITC (green). Nuclei were counterstained with DAPI (blue).
Supportive validation
- Submitted by
- Invitrogen Antibodies (provider)
- Main image

- Experimental details
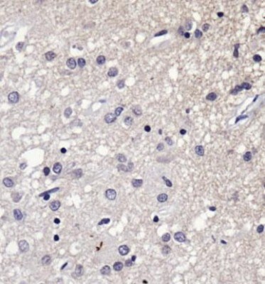
- Immunohistochemical analysis of SERF1A in human Alzheimers brain. Samples were incubated with SERF1A polyclonal antibody (Product # PA5-72971) followed by using DAB with hematoxylin counterstain.
- Submitted by
- Invitrogen Antibodies (provider)
- Main image

- Experimental details
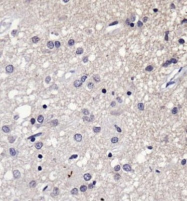
- Immunohistochemical analysis of SERF1A in human Alzheimers brain. Samples were incubated with SERF1A polyclonal antibody (Product # PA5-72971) followed by using DAB with hematoxylin counterstain.