Antibody data
- Antibody Data
- Antigen structure
- References [0]
- Comments [0]
- Validations
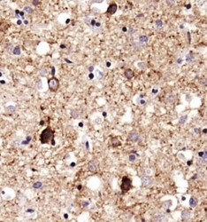
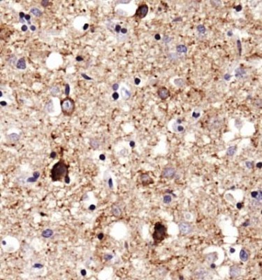
- Immunohistochemistry [1]
Submit
Validation data
Reference
Comment
Report error
- Product number
- NBP1-78392 - Provider product page

- Provider
- Novus Biologicals
- Proper citation
- Novus Cat#NBP1-78392, RRID:AB_11003164
- Product name
- Rabbit Polyclonal SERF1A Antibody
- Antibody type
- Polyclonal
- Description
- Immunogen affinity purified.
- Reactivity
- Human
- Host
- Rabbit
- Isotype
- IgG
- Vial size
- 0.1 ml
- Concentration
- 1.11 mg/ml
- Storage
- Store at 4C short term. Aliquot and store at -20C long term. Avoid freeze-thaw cycles.
No comments: Submit comment
Supportive validation
- Submitted by
- Novus Biologicals (provider)
- Main image

- Experimental details
- Immunohistochemistry: SERF1A Antibody [NBP1-78392] - Analysis of SERF1A in human Alzheimer's brain using DAB with hematoxylin counterstain.