Antibody data
- Antibody Data
- Antigen structure
- References [0]
- Comments [0]
- Validations
- Immunohistochemistry [1]
Submit
Validation data
Reference
Comment
Report error
- Product number
- PA5-62499 - Provider product page

- Provider
- Invitrogen Antibodies
- Product name
- Anti-TMEM8C Polyclonal Antibody
- Antibody type
- Polyclonal
- Antigen
- Recombinant full-length protein
- Description
- Immunogen sequence: PSHSPSDKVG RADAHLGSSS VALPKEASDG TGASQEPPTT DSQEAQSPGH SSAGQEGEDT LRRRLLAPEA GSHPQQT Highest antigen sequence identity to the following orthologs: Mouse - 46%, Rat - 44%.
- Reactivity
- Human
- Host
- Rabbit
- Isotype
- IgG
- Vial size
- 100 µl
- Concentration
- 0.05 mg/ml
- Storage
- Store at 4°C short term. For long term storage, store at -20°C, avoiding freeze/thaw cycles.
No comments: Submit comment
Supportive validation
- Submitted by
- Invitrogen Antibodies (provider)
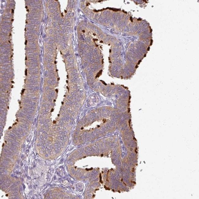
- Main image

- Experimental details
- Immunohistochemical staining of TMEM8C in human fallopian tube shows strong membranous and cytoplasmic positivity in glandular cells. Samples were probed using a TMEM8C Polyclonal Antibody (Product # PA5-62499).