Antibody data
- Antibody Data
- Antigen structure
- References [1]
- Comments [0]
- Validations
- Immunohistochemistry [4]
Submit
Validation data
Reference
Comment
Report error
- Product number
- PA5-63180 - Provider product page

- Provider
- Invitrogen Antibodies
- Product name
- TMEM8C Polyclonal Antibody
- Antibody type
- Polyclonal
- Antigen
- Recombinant protein fragment
- Description
- Immunogen sequence: KWLQKMKEKK GLYPDKSVYT QQ Highest antigen sequence identity to the following orthologs: Mouse - 91%, Rat - 41%.
- Reactivity
- Human
- Host
- Rabbit
- Isotype
- IgG
- Vial size
- 100 μL
- Concentration
- 0.1 mg/mL
- Storage
- Store at 4°C short term. For long term storage, store at -20°C, avoiding freeze/thaw cycles.
Submitted references Filopodia powered by class x myosin promote fusion of mammalian myoblasts.
Hammers DW, Hart CC, Matheny MK, Heimsath EG, Lee YI, Hammer JA 3rd, Cheney RE, Sweeney HL
eLife 2021 Sep 14;10
eLife 2021 Sep 14;10
No comments: Submit comment
Supportive validation
- Submitted by
- Invitrogen Antibodies (provider)
- Main image

- Experimental details
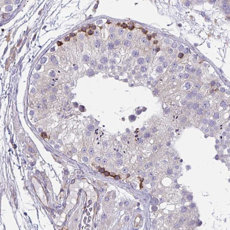
- Immunohistochemical staining of TMEM8C in human testis using TMEM8C Polyclonal Antibody (Product # PA5-63180) shows moderate positivity in spermatogonia.
- Submitted by
- Invitrogen Antibodies (provider)
- Main image

- Experimental details
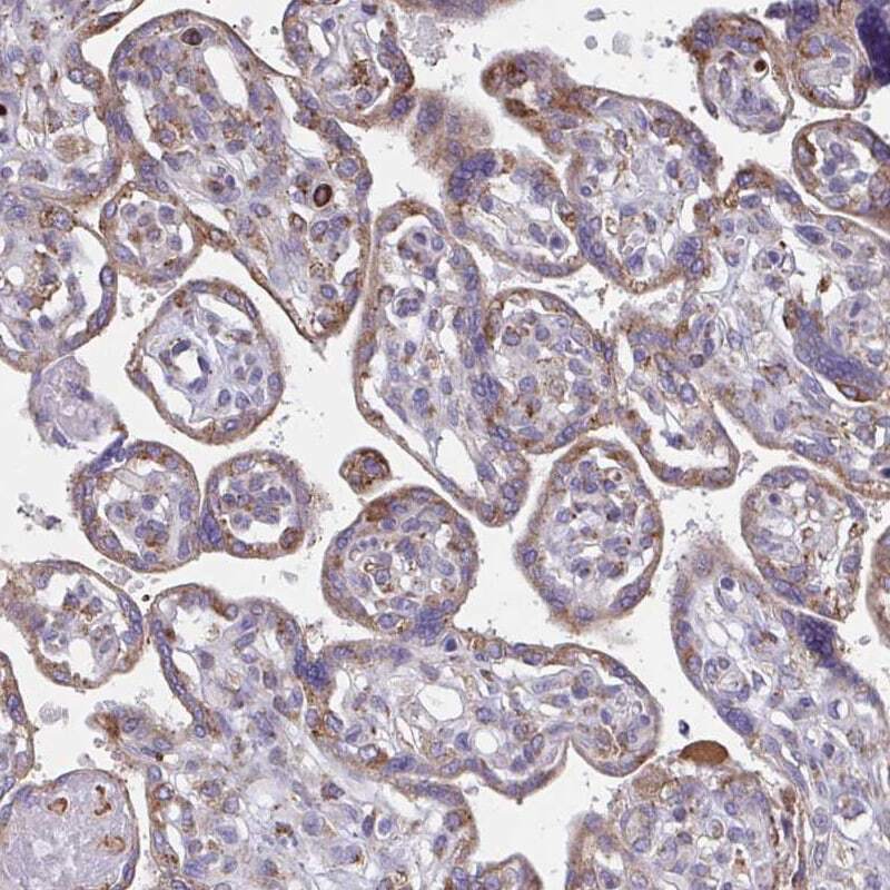
- Immunohistochemical staining of TMEM8C in human placenta using TMEM8C Polyclonal Antibody (Product # PA5-63180) shows moderate positivity in trophoblastic cells.
- Submitted by
- Invitrogen Antibodies (provider)
- Main image

- Experimental details
- Immunohistochemical staining of TMEM8C in human skeletal muscle using TMEM8C Polyclonal Antibody (Product # PA5-63180) shows no positivity in myocytes as expected.
- Submitted by
- Invitrogen Antibodies (provider)
- Main image

- Experimental details
- Immunohistochemical staining of TMEM8C in human cerebral cortex using TMEM8C Polyclonal Antibody (Product # PA5-63180) shows moderate cytoplasmic positivity in neuronal cells.