Antibody data
- Antibody Data
- Antigen structure
- References [1]
- Comments [0]
- Validations
- Immunohistochemistry [3]
Submit
Validation data
Reference
Comment
Report error
- Product number
- NBP2-34166 - Provider product page

- Provider
- Novus Biologicals
- Product name
- Rabbit Polyclonal TMCO5 Antibody
- Antibody type
- Polyclonal
- Description
- Immunogen affinity purified. Specificity of human TMCO5 antibody verified on a Protein Array containing target protein plus 383 other non-specific proteins.
- Reactivity
- Human
- Host
- Rabbit
- Isotype
- IgG
- Vial size
- 0.1 ml
- Storage
- Store at 4C short term. Aliquot and store at -20C long term. Avoid freeze-thaw cycles.
Submitted references The human testis-specific proteome defined by transcriptomics and antibody-based profiling.
Djureinovic D, Fagerberg L, Hallström B, Danielsson A, Lindskog C, Uhlén M, Pontén F
Molecular human reproduction 2014 Jun;20(6):476-88
Molecular human reproduction 2014 Jun;20(6):476-88
No comments: Submit comment
Supportive validation
- Submitted by
- Novus Biologicals (provider)
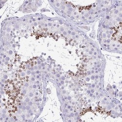
- Main image

- Experimental details
- Immunohistochemistry-Paraffin: TMCO5 Antibody [NBP2-34166] - Staining of human testis shows high expression.
- Submitted by
- Novus Biologicals (provider)
- Main image

- Experimental details
- Immunohistochemistry-Paraffin: TMCO5 Antibody [NBP2-34166] - Staining of human endometrium shows low expression as expected.
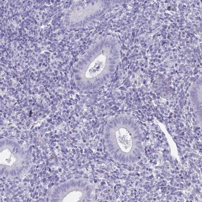
- Submitted by
- Novus Biologicals (provider)
- Main image

- Experimental details
- Immunohistochemistry-Paraffin: TMCO5 Antibody [NBP2-34166] - Staining in human testis and endometrium tissues using anti-TMCO5A antibody. Corresponding TMCO5A RNA-seq data are presented for the same tissues.