Antibody data
- Antibody Data
- Antigen structure
- References [0]
- Comments [0]
- Validations
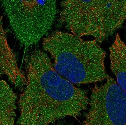
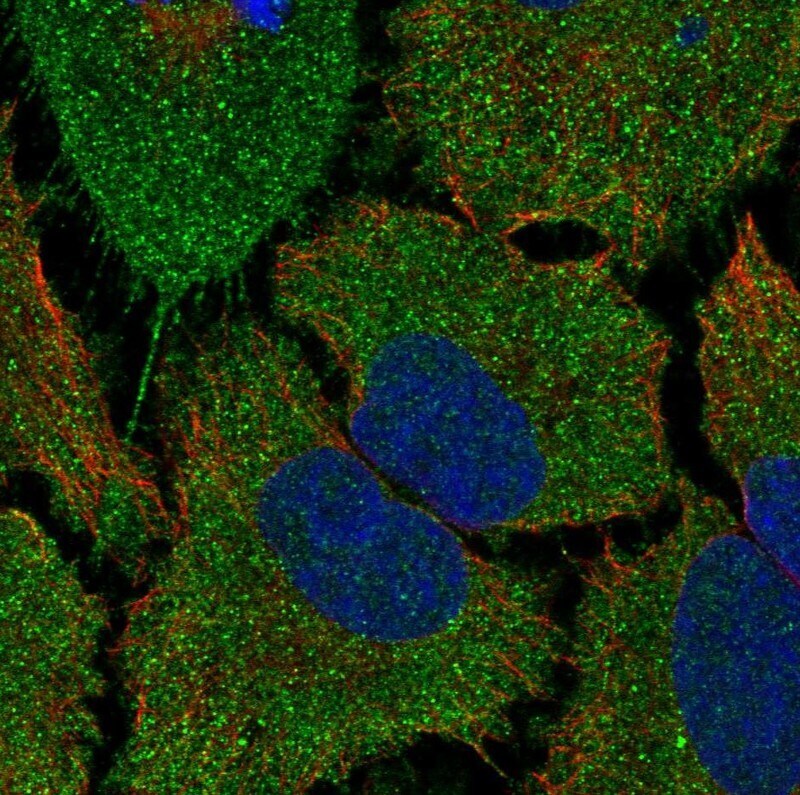
- Immunocytochemistry [1]
Submit
Validation data
Reference
Comment
Report error
- Product number
- PA5-144913 - Provider product page

- Provider
- Invitrogen Antibodies
- Product name
- TMCO5A Polyclonal Antibody
- Antibody type
- Polyclonal
- Antigen
- Recombinant protein fragment
- Description
- Immunogen sequence: EETKVKLQQL EASYACQEKE LLKVMKEYAF VTQLCEDQAL YIKKYQETLK KIEEELEALF LEREVSKLVS MNPVE Antigen sequence identity: Mouse 71%; Rat 62%
- Reactivity
- Human
- Host
- Rabbit
- Isotype
- IgG
- Vial size
- 100 μL
- Concentration
- 0.2 mg/mL
- Storage
- Store at 4°C short term. For long term storage, store at -20°C, avoiding freeze/thaw cycles.
No comments: Submit comment
Supportive validation
- Submitted by
- Invitrogen Antibodies (provider)
- Main image

- Experimental details
- Immunocytochemistry analysis of TMCO5A in HeLa cells. Samples were incubated with TMCO5A polyclonal antibody (Product # PA5-144913). Shows localization to plasma membrane & cytosol.