Antibody data
- Antibody Data
- Antigen structure
- References [0]
- Comments [0]
- Validations
- Immunocytochemistry [1]
Submit
Validation data
Reference
Comment
Report error
- Product number
- HPA064017 - Provider product page

- Provider
- Atlas Antibodies
- Product name
- Anti-TMCO5A
- Antibody type
- Polyclonal
- Description
- Polyclonal Antibody against Human TMCO5A, Gene description: transmembrane and coiled-coil domains 5A, Alternative Gene Names: MGC35118, TMCO5, Validated applications: ICC, Uniprot ID: Q8N6Q1, Storage: Store at +4°C for short term storage. Long time storage is recommended at -20°C.
- Reactivity
- Human
- Host
- Rabbit
- Conjugate
- Unconjugated
- Isotype
- IgG
- Vial size
- 100 µl
- Concentration
- 0.2 mg/ml
- Storage
- Store at +4°C for short term storage. Long time storage is recommended at -20°C.
- Handling
- The antibody solution should be gently mixed before use.
No comments: Submit comment
Supportive validation
- Submitted by
- Atlas Antibodies (provider)
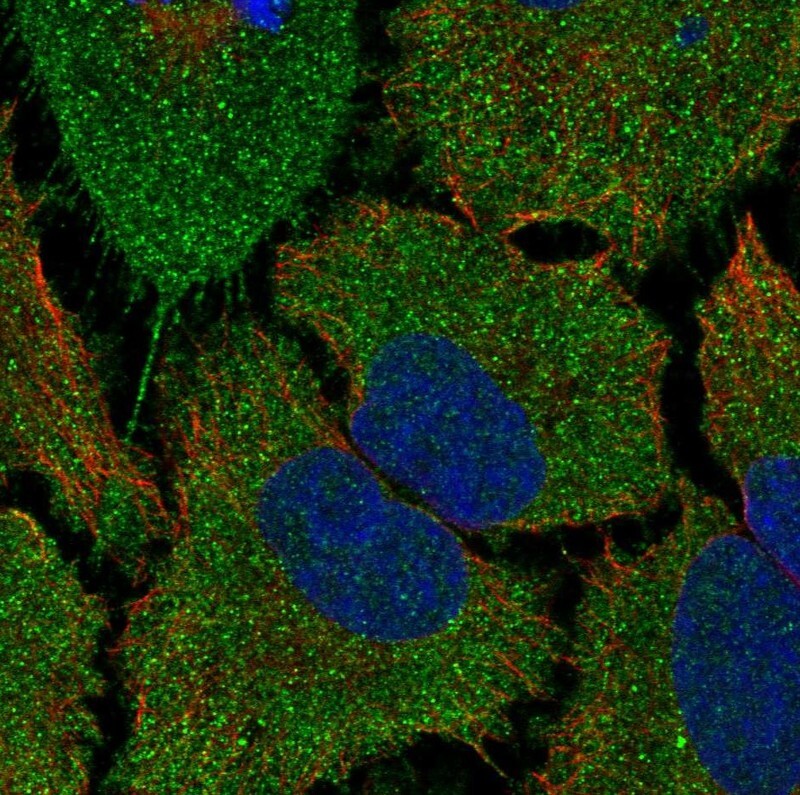
- Main image

- Experimental details
- Immunofluorescent staining of human cell line HeLa shows localization to plasma membrane & cytosol.
- Sample type
- Human