Antibody data
- Antibody Data
- Antigen structure
- References [0]
- Comments [0]
- Validations
- Western blot [1]
- Immunocytochemistry [1]
- Immunohistochemistry [6]
- Flow cytometry [1]
Submit
Validation data
Reference
Comment
Report error
- Product number
- TA501906 - Provider product page

- Provider
- OriGene
- Proper citation
- OriGene Cat#TA501906, RRID:AB_11140736
- Product name
- ZIM2 mouse monoclonal antibody, clone OTI5E12 (formerly 5E12)
- Antibody type
- Monoclonal
- Description
- ZIM2 mouse monoclonal antibody, clone OTI5E12 (formerly 5E12)
- Host
- Mouse
- Conjugate
- Unconjugated
- Epitope
- ZIM2
- Isotype
- IgG
- Antibody clone number
- OTI5E12
- Vial size
- 100 µl
- Concentration
- 1.00mg/ml
No comments: Submit comment
Supportive validation
- Submitted by
- OriGene (provider)
- Main image

- Experimental details
- HEK293T cells were transfected with the pCMV6-ENTRY control (Left lane) or pCMV6-ENTRY ZIM2 (RC211188, Right lane) cDNA for 48 hrs and lysed. Equivalent amounts of cell lysates (5 ug per lane) were separated by SDS-PAGE and immunoblotted with anti-ZIM2.
- Validation comment
- WB
Supportive validation
- Submitted by
- OriGene (provider)
- Main image

- Experimental details
- Anti-ZIM2 mouse monoclonal antibody (TA501906) immunofluorescent staining of COS7 cells transiently transfected by pCMV6-ENTRY ZIM2(RC211188).
- Validation comment
- IF
Supportive validation
- Submitted by
- OriGene (provider)
- Main image

- Experimental details
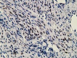
- Immunohistochemical staining of paraffin-embedded Carcinoma of Human lung tissue using anti-ZIM2 mouse monoclonal antibody. (TA501906)
- Validation comment
- IHC
- Submitted by
- OriGene (provider)
- Main image

- Experimental details
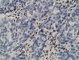
- Immunohistochemical staining of paraffin-embedded Adenocarcinoma of Human ovary tissue using anti-ZIM2 mouse monoclonal antibody. (TA501906)
- Validation comment
- IHC
- Submitted by
- OriGene (provider)
- Main image

- Experimental details
- Immunohistochemical staining of paraffin-embedded Human endometrium tissue within the normal limits using anti-ZIM2 mouse monoclonal antibody. (TA501906)
- Validation comment
- IHC
- Submitted by
- OriGene (provider)
- Main image

- Experimental details
- Immunohistochemical staining of paraffin-embedded Adenocarcinoma of Human breast tissue using anti-ZIM2 mouse monoclonal antibody. (TA501906)
- Validation comment
- IHC
- Submitted by
- OriGene (provider)
- Main image

- Experimental details
- Immunohistochemical staining of paraffin-embedded Human lymph node tissue within the normal limits using anti-ZIM2 mouse monoclonal antibody. (TA501906)
- Validation comment
- IHC
- Submitted by
- OriGene (provider)
- Main image

- Experimental details
- Immunohistochemical staining of paraffin-embedded Human liver tissue within the normal limits using anti-ZIM2 mouse monoclonal antibody. (TA501906)
- Validation comment
- IHC
Supportive validation
- Submitted by
- OriGene (provider)
- Main image

- Experimental details
- HEK293T cells transfected with either RC211188 overexpress plasmid(Red) or empty vector control plasmid(Blue) were immunostained by anti-ZIM2 antibody(TA501906), and then analyzed by flow cytometry.
- Validation comment
- FC