Antibody data
- Antibody Data
- Antigen structure
- References [0]
- Comments [0]
- Validations
- Western blot [1]
- Immunocytochemistry [2]
- Immunohistochemistry [6]
- Flow cytometry [1]
Submit
Validation data
Reference
Comment
Report error
- Product number
- CF501906 - Provider product page

- Provider
- Invitrogen Antibodies
- Product name
- ZIM2 Monoclonal Antibody (OTI5E12), TrueMAB™
- Antibody type
- Monoclonal
- Antigen
- Recombinant protein fragment
- Reactivity
- Human
- Host
- Mouse
- Isotype
- IgG
- Antibody clone number
- OTI5E12
- Vial size
- 100 µg
- Concentration
- 1 mg/mL
- Storage
- -20° C, Avoid Freeze/Thaw Cycles
No comments: Submit comment
Supportive validation
- Submitted by
- Invitrogen Antibodies (provider)
- Main image

- Experimental details
- HEK293T cells were transfected with the pCMV6-ENTRY control (Left lane) or pCMV6-ENTRY ZIM2 (RC211188, Right lane) cDNA for 48 hrs and lysed. Equivalent amounts of cell lysates (5 µg per lane) were separated by SDS-PAGE and immunoblotted with anti-ZIM2. Positive lysates LY402427 (100 µg) and LC402427 (20 µg) can be purchased separately from OriGene.
Supportive validation
- Submitted by
- Invitrogen Antibodies (provider)
- Main image

- Experimental details
- Anti-ZIM2 mouse monoclonal antibody (TA501906) Immunofluorescent staining of COS7 cells transiently transfected by pCMV6-ENTRY ZIM2(RC211188).
- Submitted by
- Invitrogen Antibodies (provider)
- Main image

- Experimental details
- Anti-ZIM2 mouse monoclonal antibody (TA501906) Immunofluorescent staining of COS7 cells transiently transfected by pCMV6-ENTRY ZIM2(RC211188).
Supportive validation
- Submitted by
- Invitrogen Antibodies (provider)
- Main image

- Experimental details
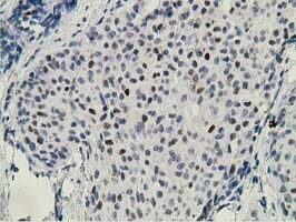
- Immunohistochemical staining of paraffin-embedded Carcinoma of Human lung tissue using anti-ZIM2 mouse monoclonal antibody. (TA501906)
- Submitted by
- Invitrogen Antibodies (provider)
- Main image

- Experimental details
- Immunohistochemical staining of paraffin-embedded Adenocarcinoma of Human ovary tissue using anti-ZIM2 mouse monoclonal antibody. (TA501906)
- Submitted by
- Invitrogen Antibodies (provider)
- Main image

- Experimental details
- Immunohistochemical staining of paraffin-embedded human endometrium tissue within the normal limits using anti-ZIM2 mouse monoclonal antibody. (TA501906)
- Submitted by
- Invitrogen Antibodies (provider)
- Main image

- Experimental details
- Immunohistochemical staining of paraffin-embedded Adenocarcinoma of Human breast tissue using anti-ZIM2 mouse monoclonal antibody. (TA501906)
- Submitted by
- Invitrogen Antibodies (provider)
- Main image

- Experimental details
- Immunohistochemical staining of paraffin-embedded human lymph node tissue within the normal limits using anti-ZIM2 mouse monoclonal antibody. (TA501906)
- Submitted by
- Invitrogen Antibodies (provider)
- Main image

- Experimental details
- Immunohistochemical staining of paraffin-embedded human liver tissue within the normal limits using anti-ZIM2 mouse monoclonal antibody. (TA501906)
Supportive validation
- Submitted by
- Invitrogen Antibodies (provider)
- Main image

- Experimental details
- HEK293T cells transfected with either RC211188 overexpress plasmid (Red) or empty vector control plasmid (Blue) were immunostained by anti-ZIM2 antibody (TA501906), and then analyzed by flow cytometry.