Antibody data
- Antibody Data
- Antigen structure
- References [0]
- Comments [0]
- Validations
- Western blot [2]
- Immunohistochemistry [7]
Submit
Validation data
Reference
Comment
Report error
- Product number
- NBP1-88002 - Provider product page

- Provider
- Novus Biologicals
- Proper citation
- Novus Cat#NBP1-88002, RRID:AB_11033329
- Product name
- Rabbit Polyclonal SFRS15 Antibody
- Antibody type
- Polyclonal
- Description
- Immunogen affinity purified. Specificity of human SFRS15 antibody verified on a Protein Array containing target protein plus 383 other non-specific proteins.
- Reactivity
- Human
- Host
- Rabbit
- Isotype
- IgG
- Vial size
- 0.1 ml
- Storage
- Store at 4C short term. Aliquot and store at -20C long term. Avoid freeze-thaw cycles.
No comments: Submit comment
Supportive validation
- Submitted by
- Novus Biologicals (provider)
- Main image

- Experimental details
- Western Blot: SFRS15 Antibody [NBP1-88002] - Analysis in human cell line RT-4, human cell line U-251 MG, human plasma, human liver tissue and human tonsil tissue.
- Submitted by
- Novus Biologicals (provider)
- Main image

- Experimental details
- Western Blot: SFRS15 Antibody [NBP1-88002] - Analysis in U2OS cells transfected with control siRNA, target specific siRNA probe #1 and #2, using anti-SCAF4 antibody. Remaining relative intensity is presented.
Supportive validation
- Submitted by
- Novus Biologicals (provider)
- Main image

- Experimental details
- Immunohistochemistry-Paraffin: SFRS15 Antibody [NBP1-88002] - Staining of human colon shows strong nuclear positivity in glandular cells.
- Submitted by
- Novus Biologicals (provider)
- Main image

- Experimental details
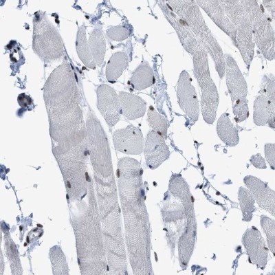
- Immunohistochemistry-Paraffin: SFRS15 Antibody [NBP1-88002] - Staining of human skeletal muscle shows low expression as expected.
- Submitted by
- Novus Biologicals (provider)
- Main image

- Experimental details
- Immunohistochemistry-Paraffin: SFRS15 Antibody [NBP1-88002] - Staining of human testis shows high expression.
- Submitted by
- Novus Biologicals (provider)
- Main image

- Experimental details
- Immunohistochemistry-Paraffin: SFRS15 Antibody [NBP1-88002] - Staining in human testis and skeletal muscle tissues using anti-SCAF4 antibody. Corresponding SCAF4 RNA-seq data are presented for the same tissues.
- Submitted by
- Novus Biologicals (provider)
- Main image

- Experimental details
- Immunohistochemistry-Paraffin: SFRS15 Antibody [NBP1-88002] - Staining of human cerebral cortex, kidney, skeletal muscle and testis using Anti-SCAF4 antibody NBP1-88002 (A) shows similar protein distribution across tissues to independent antibody NBP1-88001 (B).
- Submitted by
- Novus Biologicals (provider)
- Main image

- Experimental details
- Immunohistochemistry-Paraffin: SFRS15 Antibody [NBP1-88002] - Staining of human cerebral cortex.
- Submitted by
- Novus Biologicals (provider)
- Main image

- Experimental details
- Immunohistochemistry-Paraffin: SFRS15 Antibody [NBP1-88002] - Staining of human kidney.