Antibody data
- Antibody Data
- Antigen structure
- References [0]
- Comments [0]
- Validations
- Other assay [1]
Submit
Validation data
Reference
Comment
Report error
- Product number
- STJ180474 - Provider product page

- Provider
- St John's Laboratory
- Product name
- Anti-p120 antibody (900-1000aa) [ZR316] (STJ180474)
- Antibody type
- Monoclonal
- Description
- Rabbit monoclonal antibody anti-p120 (900-1000aa) is suitable for use in Immunohistochemistry research applications.
- Reactivity
- Human
- Host
- Rabbit
- Conjugate
- Unconjugated
- Antigen sequence
NA- Epitope
- NA
- Isotype
- IgG
- Antibody clone number
- NA
- Vial size
- NA
- Concentration
- NA
- Storage
- Store at 2‐8°C for up to 24 months. Predilute: Ready to use, no reconstitution necessary. Concentrate: Use dilution range and appropriate lab‐standardized diluent. Stability after dilution: 7 days at 24°C, 3 months at 2‐8°C, 6months at ‐20°C.
- Handling
- NA
No comments: Submit comment
Supportive validation
- Submitted by
- St John's Laboratory (provider)
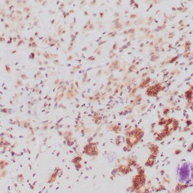
- Main image

- Experimental details
- Human breast lobular carcinoma stained with anti-P120 antibody using peroxidase-conjugate and DAB chromogen. Note: the cytoplasmic staining of lobular carcinoma cells and membranous staining of ductal epithelium (lower field).
- Sample type
- NA
- Validation comment
- NA
- Primary Ab dilution
- NA
- Other comments
- NA
- Secondary Ab
- NA
- Secondary Ab dilution
- NA
- Protocol
- NA