Antibody data
- Antibody Data
- Antigen structure
- References [0]
- Comments [0]
- Validations
- Western blot [1]
- Immunohistochemistry [1]
Submit
Validation data
Reference
Comment
Report error
- Product number
- LS-C203708 - Provider product page

- Provider
- LSBio
- Product name
- TM4SF18 Antibody (aa113-141) LS-C203708
- Antibody type
- Polyclonal
- Description
- Protein A purified
- Reactivity
- Human
- Host
- Rabbit
- Storage
- Short term: store at 4°C. Long term: aliquot and store at -20°C. Avoid freeze-thaw cycles.
No comments: Submit comment
Enhanced validation
- Submitted by
- LSBio (provider)
- Enhanced method
- Genetic validation
- Main image

- Experimental details
- TM4SF18 Antibody western blot of human placenta tissue lysates (35 ug/lane). The TM4SF18 antibody detected the TM4SF18 protein (arrow).
Supportive validation
- Submitted by
- LSBio (provider)
- Enhanced method
- Genetic validation
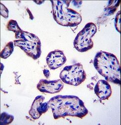
- Main image

- Experimental details
- TM4SF18 Antibody immunohistochemistry of formalin-fixed and paraffin-embedded human placenta tissue followed by peroxidase-conjugated secondary antibody and DAB staining.