Antibody data
- Antibody Data
- Antigen structure
- References [0]
- Comments [0]
- Validations
- Immunohistochemistry [4]
Submit
Validation data
Reference
Comment
Report error
- Product number
- PA5-63438 - Provider product page

- Provider
- Invitrogen Antibodies
- Product name
- WDR72 Polyclonal Antibody
- Antibody type
- Polyclonal
- Antigen
- Recombinant full-length protein
- Description
- Immunogen sequence: GHSYIYQLLN SGLSKSIYPA DGRVLKETIY PHLLCSTSVQ ENKEQSRPFV MGYMNERKEP FYKVLFSGEV SGRITLWHIP DVPVSKFDGS PREIPVTATW TLQDNFDKHD TMSQSIIDYF Highest antigen sequence identity to the following orthologs: Mouse - 84%, Rat - 84%.
- Reactivity
- Human
- Host
- Rabbit
- Isotype
- IgG
- Vial size
- 100 μL
- Concentration
- 0.4 mg/mL
- Storage
- Store at 4°C short term. For long term storage, store at -20°C, avoiding freeze/thaw cycles.
No comments: Submit comment
Supportive validation
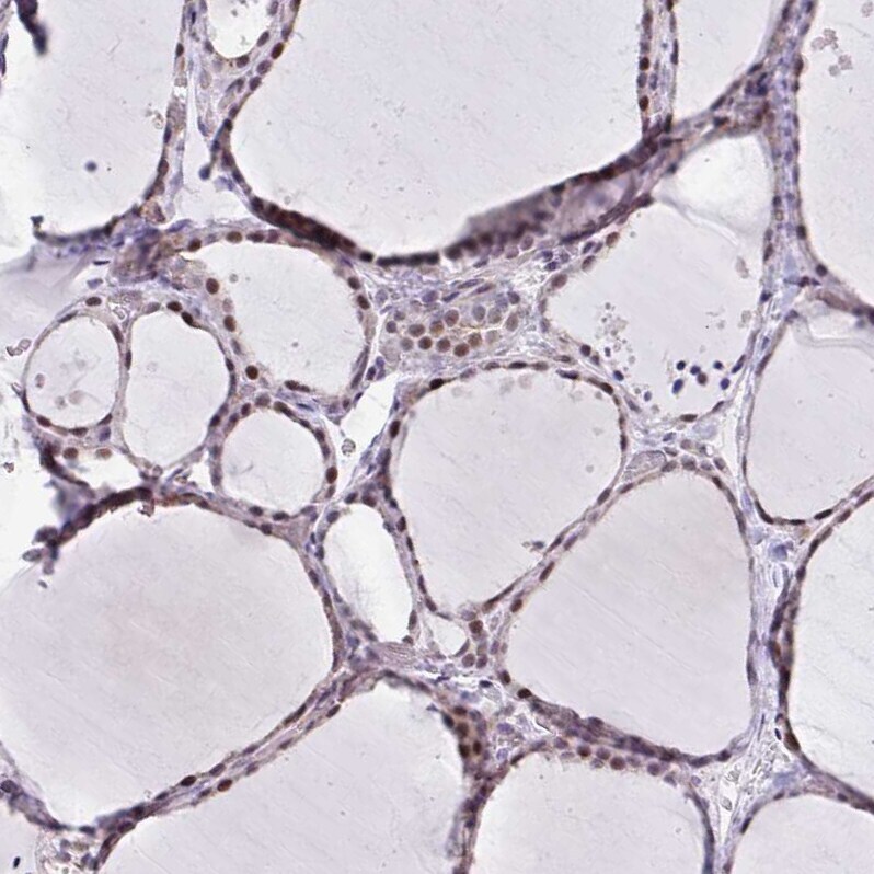
- Submitted by
- Invitrogen Antibodies (provider)
- Main image

- Experimental details
- Immunohistochemical staining of WDR72 in human thyroid gland using WDR72 Polyclonal Antibody (Product # PA5-63438) shows moderate to strong nuclear positivity in follicular cells.
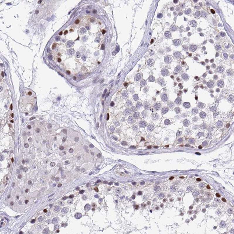
- Submitted by
- Invitrogen Antibodies (provider)
- Main image

- Experimental details
- Immunohistochemical staining of WDR72 in human testis using WDR72 Polyclonal Antibody (Product # PA5-63438) shows moderate to strong nuclear positivity in cells in seminiferous ducts.
- Submitted by
- Invitrogen Antibodies (provider)
- Main image

- Experimental details
- Immunohistochemical staining of WDR72 in human salivary gland using WDR72 Polyclonal Antibody (Product # PA5-63438) shows moderate to strong nuclear positivity in acinar cells.
- Submitted by
- Invitrogen Antibodies (provider)
- Main image

- Experimental details
- Immunohistochemical staining of WDR72 in human kidney using WDR72 Polyclonal Antibody (Product # PA5-63438) shows moderate to strong nuclear positivity in cells in tubules.