Antibody data
- Antibody Data
- Antigen structure
- References [0]
- Comments [0]
- Validations
- Western blot [1]
- Immunohistochemistry [3]
Submit
Validation data
Reference
Comment
Report error
- Product number
- PA5-113237 - Provider product page

- Provider
- Invitrogen Antibodies
- Product name
- L3HYPDH Polyclonal Antibody
- Antibody type
- Polyclonal
- Antigen
- Recombinant full-length protein
- Reactivity
- Human
- Host
- Rabbit
- Isotype
- IgG
- Vial size
- 100 μg
- Concentration
- 4 mg/mL
- Storage
- -20°C or -80°C if preferred
No comments: Submit comment
Supportive validation
- Submitted by
- Invitrogen Antibodies (provider)
- Main image

- Experimental details
- Western Blot analysis of L3HYPDH in multiple sample types using a L3HYPDH polyclonal antibody (Product # PA5-113237) at a concentration of 8 µg/ml. A goat anti rabbit polyclonal secondary antibody was used at a dilution of 1:10,000. Sample types that were tested include: Lane 1: HepG2 whole cell lysate, Lane 2: A549 whole cell lysate.
Supportive validation
- Submitted by
- Invitrogen Antibodies (provider)
- Main image

- Experimental details
- Immunocytochemical analysis of paraffin-embeded L3HYPDH in human kidney tissue using a L3HYPDH Polyclonal antibody (Product # PA5-113237) at a dilution of 1:100.
- Submitted by
- Invitrogen Antibodies (provider)
- Main image

- Experimental details
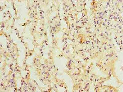
- Immunocytochemical analysis of paraffin-embeded L3HYPDH in human lung cancer using a L3HYPDH Polyclonal antibody (Product # PA5-113237) at a dilution of 1:100.
- Submitted by
- Invitrogen Antibodies (provider)
- Main image

- Experimental details
- Immunocytochemical analysis of paraffin-embeded L3HYPDH in human lung cancer using a L3HYPDH Polyclonal antibody (Product # PA5-113237) at a dilution of 1:100.