Antibody data
- Antibody Data
- Antigen structure
- References [0]
- Comments [0]
- Validations
- Western blot [1]
- Immunocytochemistry [1]
- Immunohistochemistry [1]
Submit
Validation data
Reference
Comment
Report error
- Product number
- PAB28002 - Provider product page

- Provider
- Abnova Corporation
- Product name
- PPAN-P2RY11 polyclonal antibody
- Antibody type
- Polyclonal
- Description
- Rabbit polyclonal antibody raised against recombinant PPAN-P2RY11
- Antigen sequence
RWEMDRGRGRLCDQKFPKTKDKSQGAQARRGPRGA
SRDGG- Isotype
- IgG
- Storage
- Store at 4°C. For long term storage store at -20°C.Aliquot to avoid repeated freezing and thawing.
No comments: Submit comment
Supportive validation
- Submitted by
- Abnova Corporation (provider)
- Main image

- Experimental details
- Western blot analysis of Lane 1: RT-4 Lane 2: U-251 MG Lane 3: Human Plasma Lane 4: Liver Lane 5: Tonsil with PPAN-P2RY11 polyclonal antibody (Cat # PAB28002).
Supportive validation
- Submitted by
- Abnova Corporation (provider)
- Main image

- Experimental details
- Immunofluorescent staining of human cell line U-251 MG with PPAN-P2RY11 polyclonal antibody ( Cat # PAB28002 ) at 1-4 ug/ml dilution shows positivity in nucleus but not nucleoli & cytoplasm.
- Validation comment
- Immunofluorescence
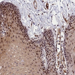
Supportive validation
- Submitted by
- Abnova Corporation (provider)
- Main image

- Experimental details
- Immunohistochemical staining of human oral mucosa with PPAN-P2RY11 polyclonal antibody ( Cat # PAB28002 ) shows strong nucleolar positivity in squamous epithelial cells at 1:200 - 1:500 dilution.
- Validation comment
- Immunohistochemistry (Formalin/PFA-fixed paraffin-embedded sections)