Antibody data
- Antibody Data
- Antigen structure
- References [0]
- Comments [0]
- Validations
- Western blot [2]
- Immunocytochemistry [2]
- Immunohistochemistry [7]
- Other assay [1]
Submit
Validation data
Reference
Comment
Report error
- Product number
- UM800030 - Provider product page

- Provider
- OriGene
- Proper citation
- OriGene Cat#UM800030, RRID:AB_2629142
- Product name
- NBN mouse monoclonal antibody,clone UMAB100
- Antibody type
- Monoclonal
- Description
- NBN mouse monoclonal antibody,clone UMAB100
- Host
- Mouse
- Conjugate
- Unconjugated
- Epitope
- NBN
- Isotype
- IgG
- Antibody clone number
- UMAB100
- Vial size
- 100 µl
- Concentration
- 1.00mg/ml
No comments: Submit comment
Supportive validation
- Submitted by
- OriGene (provider)
- Main image

- Experimental details
- Western blot analysis of extracts (35ug) from 9 different cell lines by using anti-NBN monoclonal antibody (Clone UMAB100).
- Validation comment
- WB
- Submitted by
- OriGene (provider)
- Main image

- Experimental details
- Western blot of human tissue lysates (15ug) from 10 different tissues (1: Testis, 2: Omentum, 3: Uterus, 4: Breast, 5: Brain, 6: Liver, 7: Ovary, 8: Thyroid, 9: Colon, 10: Spleen). Diluation: 1:500.
- Validation comment
- WB
Supportive validation
- Submitted by
- OriGene (provider)
- Main image

- Experimental details
- Immunofluorescent staining of A549 cells using NBN mouse monoclonal antibody (UM800030, green). Actin filaments were labeled with TRITC-phalloidin (red), and nuclear with DAPI (blue). The three-color overlay image is located at the bottom-right corner.
- Validation comment
- IF
- Submitted by
- OriGene (provider)
- Main image

- Experimental details
- Immunofluorescent staining of HeLa cells using anti-NBN mouse monoclonal antibody (UM800030, green, 1:50). Actin filaments were labeled with Alexa Fluor? 594 Phalloidin (red), and nuclear with DAPI (blue).
- Validation comment
- IF
Supportive validation
- Submitted by
- OriGene (provider)
- Main image

- Experimental details
- Immunohistochemical staining of paraffin-embedded Adenocarcinoma of Human breast tissue using anti-NBN mouse monoclonal antibody. (UM800030; heat-induced epitope retrieval by 10mM citric buffer, pH6.0, 120C for 3min)
- Validation comment
- IHC
- Submitted by
- OriGene (provider)
- Main image

- Experimental details
- Immunohistochemical staining of paraffin-embedded Adenocarcinoma of Human colon tissue using anti-NBN mouse monoclonal antibody. (UM800030; heat-induced epitope retrieval by 10mM citric buffer, pH6.0, 120C for 3min)
- Validation comment
- IHC
- Submitted by
- OriGene (provider)
- Main image

- Experimental details
- Immunohistochemical staining of paraffin-embedded Carcinoma of Human kidney tissue using anti-NBN mouse monoclonal antibody. (UM800030; heat-induced epitope retrieval by 10mM citric buffer, pH6.0, 120C for 3min)
- Validation comment
- IHC
- Submitted by
- OriGene (provider)
- Main image

- Experimental details
- Immunohistochemical staining of paraffin-embedded Carcinoma of Human thyroid tissue using anti-NBN mouse monoclonal antibody. (UM800030; heat-induced epitope retrieval by 10mM citric buffer, pH6.0, 120C for 3min)
- Validation comment
- IHC
- Submitted by
- OriGene (provider)
- Main image

- Experimental details
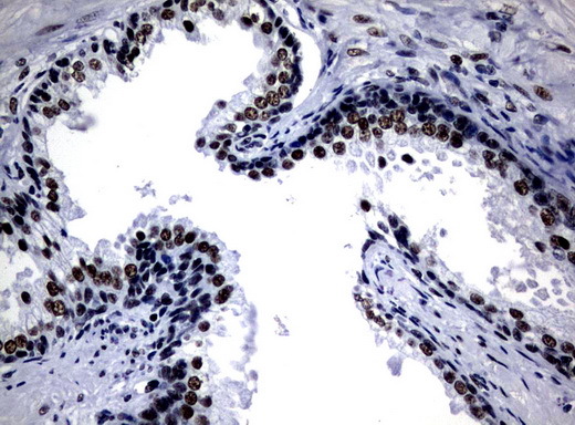
- Immunohistochemical staining of paraffin-embedded Human prostate tissue using anti-NBN mouse monoclonal antibody. (UM800030; heat-induced epitope retrieval by 10mM citric buffer, pH6.0, 120C for 3min)
- Validation comment
- IHC
- Submitted by
- OriGene (provider)
- Main image

- Experimental details
- Immunohistochemical staining of paraffin-embedded Human lymphoma tissue using anti-NBN mouse monoclonal antibody. (UM800030; heat-induced epitope retrieval by 10mM citric buffer, pH6.0, 120C for 3min)
- Validation comment
- IHC
- Submitted by
- OriGene (provider)
- Main image

- Experimental details
- Immunohistochemical staining of paraffin-embedded Human tonsil using anti-NBN mouse monoclonal antibody. (UM800030; heat-induced epitope retrieval by 10mM citric buffer, pH6.0, 120C for 3min)
- Validation comment
- IHC
Supportive validation
- Submitted by
- OriGene (provider)
- Main image

- Experimental details
- OriGene overexpression protein microarray chip was immunostained with UltraMAB anti-NBN mouse monoclonal antibody (UM800030). The positive reactive proteins are highlighted with two red arrows in the enlarged subarray. All the positive controls spotted in this subarray are also labeled for clarification.
- Validation comment
- 10K-CHIP