Antibody data
- Antibody Data
- Antigen structure
- References [0]
- Comments [0]
- Validations
- Western blot [5]
- ELISA [3]
- Immunohistochemistry [5]
Submit
Validation data
Reference
Comment
Report error
- Product number
- LS-C359397 - Provider product page

- Provider
- LSBio
- Product name
- NBN / Nibrin Antibody (aa400-650, clone 7E4A2) LS-C359397
- Antibody type
- Monoclonal
- Description
- Ammonium sulfate precipitation
- Reactivity
- Human
- Host
- Mouse
- Isotype
- IgG
- Antibody clone number
- 7E4A2
- Storage
- Short term: store at 4°C. Long term: aliquot and store at -20°C. Avoid freeze-thaw cycles.
No comments: Submit comment
Enhanced validation
- Submitted by
- LSBio (provider)
- Enhanced method
- Genetic validation
- Main image

- Experimental details
- Western Blot: NBS1 Antibody (7E4A2) - Western blot analysis using NBN mouse mAb against A549 (1), Jurkat (2) and PC-12 (3) cell lysate.
- Submitted by
- LSBio (provider)
- Enhanced method
- Genetic validation
- Main image

- Experimental details
- Western Blot: NBS1 Antibody (7E4A2) - Western blot analysis of NBS1 in HepG2 whole cell lysate.
- Submitted by
- LSBio (provider)
- Enhanced method
- Genetic validation
- Main image

- Experimental details
- Western Blot: NBS1 Antibody (7E4A2) - Western blot analysis using NBN mAb against human NBN recombinant protein. (Expected MW is 44.3 kDa)
- Submitted by
- LSBio (provider)
- Enhanced method
- Genetic validation
- Main image

- Experimental details
- Western Blot: NBS1 Antibody (7E4A2) - Western blot analysis using NBN mAb against HEK293 (1) and NBN hIgGFc transfected HEK293 (2) cell lysate.
- Submitted by
- LSBio (provider)
- Enhanced method
- Genetic validation
- Main image

- Experimental details
- Western Blot: Nbs1 Antibody (7E4A2) - Western blot shows a specific band for NBS1 in 0.5 mg/ml of HepG2 lysate. This experiment was performed under reducing conditions using the 12-230 kDa separation system.
Supportive validation
- Submitted by
- LSBio (provider)
- Enhanced method
- Genetic validation
- Main image

- Experimental details
- ELISA: NBS1 Antibody (7E4A2)
- Submitted by
- LSBio (provider)
- Main image

- Experimental details
- ELISA: NBS1 Antibody (7E4A2)
- Submitted by
- LSBio (provider)
- Main image

- Experimental details
- ELISA: NBS1 Antibody (7E4A2)
Supportive validation
- Submitted by
- LSBio (provider)
- Enhanced method
- Genetic validation
- Main image

- Experimental details
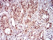
- Immunohistochemistry: NBS1 Antibody (7E4A2) - Immunohistochemical analysis of paraffin-embedded rectum cancer tissues using NBN mouse mAb with DAB staining.
- Submitted by
- LSBio (provider)
- Enhanced method
- Genetic validation
- Main image

- Experimental details
- Immunohistochemistry: NBS1 Antibody (7E4A2) - Immunohistochemical analysis of paraffin-embedded cervical cancer tissues using NBN mouse mAb with DAB staining.
- Submitted by
- LSBio (provider)
- Enhanced method
- Genetic validation
- Main image

- Experimental details
- Immunohistochemistry: NBS1 Antibody (7E4A2) - Immunohistochemical analysis of paraffin-embedded rectum cancer tissues using NBN mouse mAb with DAB staining.
- Submitted by
- LSBio (provider)
- Enhanced method
- Genetic validation
- Main image

- Experimental details
- Immunohistochemistry: NBS1 Antibody (7E4A2) - Immunohistochemical analysis of paraffin-embedded cervical cancer tissues using NBN mouse mAb with DAB staining.
- Submitted by
- LSBio (provider)
- Enhanced method
- Genetic validation
- Main image

- Experimental details
- Immunohistochemistry: NBS1 Antibody (7E4A2) - Immunohistochemical analysis of paraffin-embedded cervical cancer tissues using NBN mouse mAb with DAB staining.