Antibody data
- Antibody Data
- Antigen structure
- References [0]
- Comments [0]
- Validations
- Western blot [2]
- Immunohistochemistry [1]
Submit
Validation data
Reference
Comment
Report error
- Product number
- GTX62147 - Provider product page

- Provider
- GeneTex
- Proper citation
- GeneTex Cat#GTX62147, RRID:AB_10622507
- Product name
- C1qC antibody [EPR2983]
- Antibody type
- Monoclonal
- Reactivity
- Human
- Host
- Rabbit
No comments: Submit comment
Supportive validation
- Submitted by
- GeneTex (provider)
- Main image

- Experimental details
- A. Western blot analysis on (A) human plasma (B) human spleen and (C) fetal marrow lysates using anti-C1q (subunit C) RabMAb (cat. #GTX62147) dilution 1:5000.
- Validation comment
- WB
- Submitted by
- GeneTex (provider)
- Main image

- Experimental details
- WB analysis of lysates from (1) human plasma, (2) human spleen and (3) fetal marrow (10 ?g per lane) using C1qC antibody [EPR2983] at a dilution of 1:5,000.
- Validation comment
- WB
Supportive validation
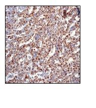
- Submitted by
- GeneTex (provider)
- Main image

- Experimental details
- IHC-P analysis of human spleen tissue using C1qC antibody [EPR2983].