Antibody data
- Antibody Data
- Antigen structure
- References [0]
- Comments [0]
- Validations
- Western blot [1]
Submit
Validation data
Reference
Comment
Report error
- Product number
- R35608 - Provider product page

- Provider
- NSJ Bioreagents
- Product name
- POLDIP2 Antibody
- Antibody type
- Polyclonal
- Description
- This highly specific POLDIP2 antibody is suitable for use in Western blot/ELISA applications with human, mouse and rat samples.
- Reactivity
- Human, Mouse, Rat
- Host
- Goat
- Conjugate
- Unconjugated
- Vial size
- 100 ug
- Concentration
- 0.5 mg/ml in 1X TBS, pH7.3, with 0.5% BSA (US sourced) and 0.02% sodium azide
- Storage
- Aliquot and store the POLDIP2 antibody at -20oC.
No comments: Submit comment
Supportive validation
- Submitted by
- NSJ Bioreagents (provider)
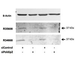
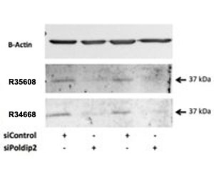
- Main image

- Experimental details
- Western blot testing of rat VSMC lysate with POLDIP2 antibody at 0.5ug/ml (Cat # R35068 and R34668). Signal is reduced by specific siRNA but not control.