Antibody data
- Antibody Data
- Antigen structure
- References [0]
- Comments [0]
- Validations
- Western blot [2]
- ELISA [1]
- Immunohistochemistry [2]
- Flow cytometry [1]
Submit
Validation data
Reference
Comment
Report error
- Product number
- GTX60479 - Provider product page

- Provider
- GeneTex
- Product name
- IRAK4 antibody [2H9]
- Antibody type
- Monoclonal
- Reactivity
- Human, Mouse, Simian
- Host
- Mouse
No comments: Submit comment
Supportive validation
- Submitted by
- GeneTex (provider)
- Main image

- Experimental details
- WB analysis of (1) THP-1, (2) Hela, (3) K562, (4) MCF-7, RAW264.7 (5), (6) Jurkat and (7) Cos7 lysates using IRAK4 antibody [2H9].
- Submitted by
- GeneTex (provider)
- Main image

- Experimental details
- WB analysis of human IRAK4 (a.a. 21-198) recombinant protein using IRAK4 antibody [2H9].
Supportive validation
- Submitted by
- GeneTex (provider)
- Main image

- Experimental details
- ELISA analysis of control antigen and antigen using IRAK4 antibody [2H9].
Supportive validation
- Submitted by
- GeneTex (provider)
- Main image

- Experimental details
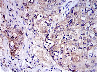
- IHC-P analysis of human kidney cancer tissues using IRAK4 antibody [2H9].
- Submitted by
- GeneTex (provider)
- Main image

- Experimental details
- IHC-P analysis of human lung cancer tissues using IRAK4 antibody [2H9].
Supportive validation
- Submitted by
- GeneTex (provider)
- Main image

- Experimental details
- FACS analysis of HeLa cells using IRAK4 antibody [2H9] (blue) or a negative control (red).