Antibody data
- Antibody Data
- Antigen structure
- References [0]
- Comments [0]
- Validations
- Western blot [1]
- Immunohistochemistry [2]
Submit
Validation data
Reference
Comment
Report error
- Product number
- 14943-1-AP - Provider product page

- Provider
- Proteintech Group
- Proper citation
- Proteintech Cat#14943-1-AP, RRID:AB_2157286
- Product name
- OVCA2 antibody
- Antibody type
- Polyclonal
- Description
- OVCA2 antibody (Cat. #14943-1-AP) is a rabbit polyclonal antibody that shows reactivity with human, mouse, rat and has been validated for the following applications: IHC, WB,ELISA.
- Reactivity
- Human, Mouse, Rat
- Host
- Rabbit
- Conjugate
- Unconjugated
- Isotype
- IgG
- Vial size
- 20ul, 150ul
No comments: Submit comment
Supportive validation
- Submitted by
- Proteintech Group (provider)
- Main image

- Experimental details
- human kidney tissue were subjected to SDS PAGE followed by western blot with 14943-1-AP(OVCA2 antibody) at dilution of 1:200
- Sample type
- tissue
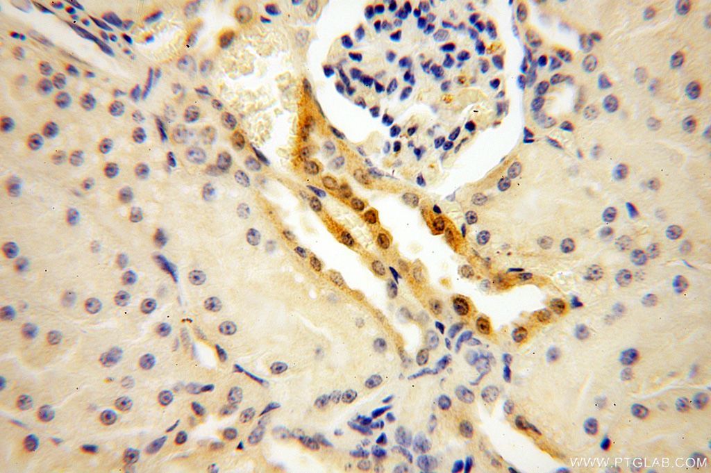
Supportive validation
- Submitted by
- Proteintech Group (provider)
- Main image

- Experimental details
- Immunohistochemical of paraffin-embedded human kidney using 14943-1-AP(OVCA2 antibody) at dilution of 1:50 (under 10x lens)
- Sample type
- tissue
- Submitted by
- Proteintech Group (provider)
- Main image

- Experimental details
- The OVCA2 antibody from Proteintech is a rabbit polyclonal antibody to a recombinant protein of human OVCA2. This antibody recognizes human, mouse, rat antigen. The OVCA2 antibody has been validated for the following applications: ELISA, WB, IHC analysis.