Antibody data
- Antibody Data
- Antigen structure
- References [0]
- Comments [0]
- Validations
- Western blot [4]
- Immunohistochemistry [2]
Submit
Validation data
Reference
Comment
Report error
- Product number
- 14943-1-AP - Provider product page

- Provider
- Invitrogen Antibodies
- Product name
- OVCA2 Polyclonal Antibody
- Antibody type
- Polyclonal
- Antigen
- Other
- Reactivity
- Human, Mouse, Rat
- Host
- Rabbit
- Isotype
- IgG
- Vial size
- 150 µL
- Concentration
- 0.17 mg/mL
- Storage
- -20°C
No comments: Submit comment
Supportive validation
- Submitted by
- Invitrogen Antibodies (provider)
- Main image

- Experimental details
- Human brain tissue were subjected to SDS PAGE followed by western blot with 14943-1-AP (OVCA2 antibody) at dilution of 1:500 incubated at room temperature for 1.5 hours.
- Submitted by
- Invitrogen Antibodies (provider)
- Main image

- Experimental details
- Mouse pancreas tissue were subjected to SDS PAGE followed by western blot with 14943-1-AP (OVCA2 antibody) at dilution of 1:200 incubated at room temperature for 1.5 hours.
- Submitted by
- Invitrogen Antibodies (provider)
- Main image

- Experimental details
- Human kidney tissue were subjected to SDS PAGE followed by western blot with 14943-1-AP (OVCA2 antibody) at dilution of 1:200 incubated at room temperature for 1.5 hours.
- Submitted by
- Invitrogen Antibodies (provider)
- Main image

- Experimental details
- Mouse thymus tissue were subjected to SDS PAGE followed by western blot with 14943-1-AP (OVCA2 antibody) at dilution of 1:200 incubated at room temperature for 1.5 hours.
Supportive validation
- Submitted by
- Invitrogen Antibodies (provider)
- Main image

- Experimental details
- Immunohistochemistry of paraffin-embedded human kidney using 14943-1-AP (OVCA2 antibody) at dilution of 1:50 (under 10x lens).
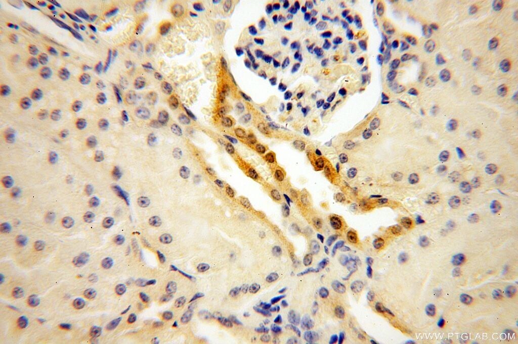
- Submitted by
- Invitrogen Antibodies (provider)
- Main image

- Experimental details
- Immunohistochemistry of paraffin-embedded human kidney using 14943-1-AP (OVCA2 antibody) at dilution of 1:50 (under 40x lens).