Antibody data
- Antibody Data
- Antigen structure
- References [3]
- Comments [0]
- Validations
- Western blot [1]
- Immunohistochemistry [1]
Submit
Validation data
Reference
Comment
Report error
- Product number
- PAB18152 - Provider product page

- Provider
- Abnova Corporation
- Proper citation
- Abnova Corporation Cat#PAB18152, RRID:AB_10714492
- Product name
- FADD polyclonal antibody
- Antibody type
- Polyclonal
- Description
- Rabbit polyclonal antibody raised against synthetic peptide of FADD.
- Storage
- Store at -20°C.Aliquot to avoid repeated freezing and thawing.
Submitted references Phosphorylated FADD induces NF-kappaB, perturbs cell cycle, and is associated with poor outcome in lung adenocarcinomas.
Phosphorylation of FADD/ MORT1 at serine 194 and association with a 70-kDa cell cycle-regulated protein kinase.
FADD is required for DR4- and DR5-mediated apoptosis: lack of trail-induced apoptosis in FADD-deficient mouse embryonic fibroblasts.
Chen G, Bhojani MS, Heaford AC, Chang DC, Laxman B, Thomas DG, Griffin LB, Yu J, Coppola JM, Giordano TJ, Lin L, Adams D, Orringer MB, Ross BD, Beer DG, Rehemtulla A
Proceedings of the National Academy of Sciences of the United States of America 2005 Aug 30;102(35):12507-12
Proceedings of the National Academy of Sciences of the United States of America 2005 Aug 30;102(35):12507-12
Phosphorylation of FADD/ MORT1 at serine 194 and association with a 70-kDa cell cycle-regulated protein kinase.
Scaffidi C, Volkland J, Blomberg I, Hoffmann I, Krammer PH, Peter ME
Journal of immunology (Baltimore, Md. : 1950) 2000 Feb 1;164(3):1236-42
Journal of immunology (Baltimore, Md. : 1950) 2000 Feb 1;164(3):1236-42
FADD is required for DR4- and DR5-mediated apoptosis: lack of trail-induced apoptosis in FADD-deficient mouse embryonic fibroblasts.
Kuang AA, Diehl GE, Zhang J, Winoto A
The Journal of biological chemistry 2000 Aug 18;275(33):25065-8
The Journal of biological chemistry 2000 Aug 18;275(33):25065-8
No comments: Submit comment
Supportive validation
- Submitted by
- Abnova Corporation (provider)
- Main image

- Experimental details
- Western blot analysis of extracts from HeLa cells, treated with PMA (125 ng/mL, 30 mins), using FADD polyclonal antibody (Cat # PAB18152).Peptide "+" means "peptide blocking".
Supportive validation
- Submitted by
- Abnova Corporation (provider)
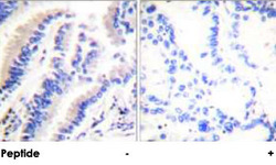
- Main image

- Experimental details
- Immunohistochemical analysis of paraffin-embedded human lung carcinoma tissue using FADD polyclonal antibody (Cat # PAB18152).Peptide "+" means "peptide blocking".
- Validation comment
- Immunohistochemistry (Formalin/PFA-fixed paraffin-embedded sections)