Antibody data
- Antibody Data
- Antigen structure
- References [0]
- Comments [0]
- Validations
- Immunoprecipitation [1]
- Immunohistochemistry [2]
- Other assay [1]
Submit
Validation data
Reference
Comment
Report error
- Product number
- PA5-80316 - Provider product page

- Provider
- Invitrogen Antibodies
- Product name
- Adenosine Deaminase Polyclonal Antibody
- Antibody type
- Polyclonal
- Antigen
- Synthetic peptide
- Description
- This antibody has specificity for Human Adenosine Deaminase/ADA.
- Reactivity
- Human
- Host
- Rabbit
- Isotype
- IgG
- Vial size
- 100 μL
- Concentration
- 1 mg/mL
- Storage
- Store at 4°C short term. For long term storage, store at -20°C, avoiding freeze/thaw cycles.
No comments: Submit comment
Supportive validation
- Submitted by
- Invitrogen Antibodies (provider)
- Main image

- Experimental details
- Adenosine Deaminase Immunoprecipitation using: Lane A: 0.5 mg mouse brain tissue lysate 4 µL with Adenosine Deaminase Polyclonal Antibody (Product # PA5-80316) and 60 μg of Immunomagnetic beads Protein A/G.Primary antibody: Adenosine Deaminase Polyclonal Antibody, at 1:100 dilution. Secondary antibody: Goat Anti-Rabbit IgG (H+L) /HRP at 1:10,000 dilution. Developed using the ECL technique. Performed under reducing conditions. Predicted band size: 26 kDa. Observed band size: 28 kDa.
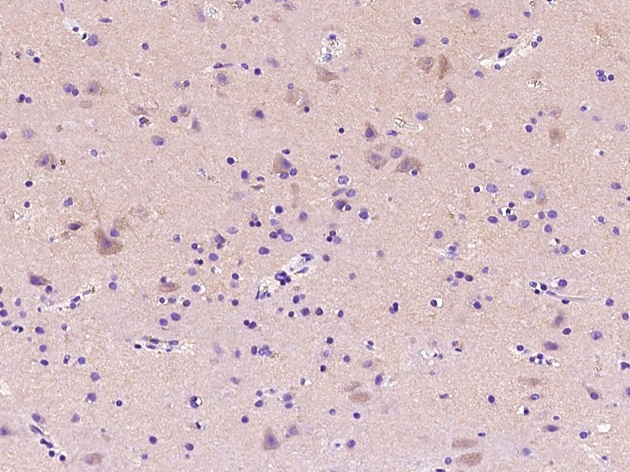
Supportive validation
- Submitted by
- Invitrogen Antibodies (provider)
- Main image

- Experimental details
- Immunohistochemical staining of human Adenosine Deaminase in human brain with Adenosine Deaminase Polyclonal Antibody (Product # PA5-80316, 1:2,000 dilution, formalin-fixed paraffin embedded sections).
- Submitted by
- Invitrogen Antibodies (provider)
- Main image

- Experimental details
- Immunohistochemical staining of human Adenosine Deaminase in human duodenum with Adenosine Deaminase Polyclonal Antibody (Product # PA5-80316, 1:2,000 dilution, formalin-fixed paraffin embedded sections).
Supportive validation
- Submitted by
- Invitrogen Antibodies (provider)
- Main image

- Experimental details
- Adenosine Deaminase Immunoprecipitation using: Lane A: 0.5 mg mouse brain tissue lysate 4 µL with Adenosine Deaminase Polyclonal Antibody (Product # PA5-80316) and 60 μg of Immunomagnetic beads Protein A/G.Primary antibody: Adenosine Deaminase Polyclonal Antibody, at 1:100 dilution. Secondary antibody: Goat Anti-Rabbit IgG (H+L) /HRP at 1:10,000 dilution. Developed using the ECL technique. Performed under reducing conditions. Predicted band size: 26 kDa. Observed band size: 28 kDa.