Antibody data
- Antibody Data
- Antigen structure
- References [0]
- Comments [0]
- Validations
- Western blot [2]
- ELISA [1]
- Immunohistochemistry [2]
- Flow cytometry [1]
Submit
Validation data
Reference
Comment
Report error
- Product number
- NBP2-52587 - Provider product page

- Provider
- Novus Biologicals
- Product name
- Mouse Monoclonal WASP Antibody
- Antibody type
- Monoclonal
- Description
- Protein A or G purified.
- Reactivity
- Human
- Host
- Mouse
- Isotype
- IgG
- Vial size
- 0.1 mg
- Concentration
- 1 mg/ml
- Storage
- Store at 4C short term. Aliquot and store at -20C long term. Avoid freeze-thaw cycles.
No comments: Submit comment
Supportive validation
- Submitted by
- Novus Biologicals (provider)
- Main image

- Experimental details
- Western Blot: WASP Antibody (7B10E4) [NBP2-52587] - Analysis using WAS mAb against HEK293 (1) and WAS (AA: 57-170)-hIgGFc transfected HEK293 (2) cell lysate.
- Submitted by
- Novus Biologicals (provider)
- Main image

- Experimental details
- Western Blot: WASP Antibody (7B10E4) [NBP2-52587] - Analysis using WAS mAb against human WAS (AA: 57-170) recombinant protein. (Expected MW is 39 kDa)
Supportive validation
- Submitted by
- Novus Biologicals (provider)
- Main image

- Experimental details
- ELISA: WASP Antibody (7B10E4) [NBP2-52587] - Black line: Control Antigen (100 ng); Purple line: Antigen(10ng); Blue line: Antigen (50 ng); Red line: Antigen (100 ng).
Supportive validation
- Submitted by
- Novus Biologicals (provider)
- Main image

- Experimental details
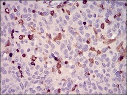
- Immunohistochemistry-Paraffin: WASP Antibody (7B10E4) [NBP2-52587] - Analysis of paraffin-embedded ovarian cancer tissues using WAS mouse mAb with DAB staining.
- Submitted by
- Novus Biologicals (provider)
- Main image

- Experimental details
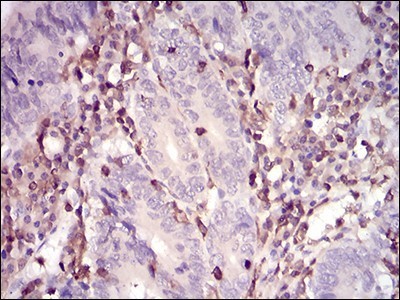
- Immunohistochemistry-Paraffin: WASP Antibody (7B10E4) [NBP2-52587] - Analysis of paraffin-embedded colon cancer tissues using WAS mouse mAb with DAB staining.
Supportive validation
- Submitted by
- Novus Biologicals (provider)
- Main image

- Experimental details
- Flow Cytometry: WASP Antibody (7B10E4) [NBP2-52587] - Analysis of Hela cells using WAS mouse mAb (green) and negative control (red).