Antibody data
- Antibody Data
- Antigen structure
- References [0]
- Comments [0]
- Validations
- Western blot [1]
- Immunocytochemistry [1]
- Immunohistochemistry [2]
Submit
Validation data
Reference
Comment
Report error
- Product number
- TA326975 - Provider product page

- Provider
- OriGene
- Product name
- Rabbit anti-NCF2 Polyclonal Antibody
- Antibody type
- Polyclonal
- Description
- Rabbit anti-NCF2 Polyclonal Antibody
- Host
- Rabbit
- Conjugate
- Unconjugated
- Epitope
- NCF2
- Isotype
- IgG
- Antibody clone number
- NULL
- Vial size
- 100 µg
- Concentration
- 1mg/ml
No comments: Submit comment
Supportive validation
- Submitted by
- OriGene (provider)
- Main image

- Experimental details
- Western blot analysis of THP1 cell and mouse spleen cell lysate using NCF2 antibody.
- Validation comment
- WB
Supportive validation
- Submitted by
- OriGene (provider)
- Main image

- Experimental details
- Immunofluorescence analysis of HeLa cell using NCF2 antibody. Blue: DAPI for nuclear staining.
- Validation comment
- IF
Supportive validation
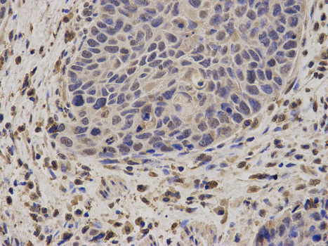
- Submitted by
- OriGene (provider)
- Main image

- Experimental details
- Immunohistochemistry of paraffin-embedded human esophageal cancer using NCF2 antibody at dilution of 1:100 (400x lens).
- Validation comment
- IHC
- Submitted by
- OriGene (provider)
- Main image

- Experimental details
- Immunohistochemistry of paraffin-embedded human esophagus using NCF2 antibody at dilution of 1:100 (400x lens).
- Validation comment
- IHC