Antibody data
- Antibody Data
- Antigen structure
- References [0]
- Comments [0]
- Validations
- Western blot [1]
- Immunohistochemistry [3]
Submit
Validation data
Reference
Comment
Report error
- Product number
- NBP2-75605 - Provider product page

- Provider
- Novus Biologicals
- Product name
- Rabbit Monoclonal p67phox/NOXA2 Antibody
- Antibody type
- Monoclonal
- Description
- Protein A purified.
- Reactivity
- Human, Mouse, Rat
- Host
- Rabbit
- Isotype
- IgG
- Vial size
- 100 ul
- Storage
- Store at 4C short term. Aliquot and store at -20C long term. Avoid freeze-thaw cycles.
No comments: Submit comment
Supportive validation
- Submitted by
- Novus Biologicals (provider)
- Main image

- Experimental details
- Western Blot: p67phox/NOXA2 Antibody (JG86-31) [NBP2-75605] - Analysis of NOXA2 on rat spleen tissue lysate using anti-NOXA2 antibody at 1/500 dilution.
Supportive validation
- Submitted by
- Novus Biologicals (provider)
- Main image

- Experimental details
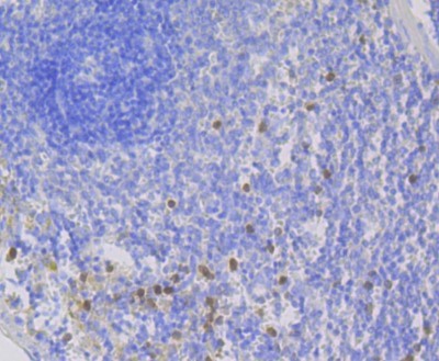
- Immunohistochemistry-Paraffin: p67phox/NOXA2 Antibody (JG86-31) [NBP2-75605] - Analysis of paraffin-embedded mouse spleen tissue using anti-NOXA2 antibody. Counter stained with hematoxylin.
- Submitted by
- Novus Biologicals (provider)
- Main image

- Experimental details
- Immunohistochemistry-Paraffin: p67phox/NOXA2 Antibody (JG86-31) [NBP2-75605] - Analysis of paraffin-embedded rat spleen tissue using anti-NOXA2 antibody. Counter stained with hematoxylin.
- Submitted by
- Novus Biologicals (provider)
- Main image

- Experimental details
- Immunohistochemistry-Paraffin: p67phox/NOXA2 Antibody (JG86-31) [NBP2-75605] - Analysis of paraffin-embedded human spleen tissue using anti-NOXA2 antibody. Counter stained with hematoxylin.