NBP2-31888
antibody from Novus Biologicals
Targeting: WDR90
C16orf15, C16orf16, C16orf17, C16orf18, C16orf19, FLJ36483, KIAA1924, POC16
Antibody data
- Antibody Data
- Antigen structure
- References [1]
- Comments [0]
- Validations
- Immunohistochemistry [5]
Submit
Validation data
Reference
Comment
Report error
- Product number
- NBP2-31888 - Provider product page

- Provider
- Novus Biologicals
- Proper citation
- Novus Cat#NBP2-31888, RRID:AB_2687592
- Product name
- Rabbit Polyclonal WDR90 Antibody
- Antibody type
- Polyclonal
- Description
- Immunogen affinity purified. Specificity of human WDR90 antibody verified on a Protein Array containing target protein plus 383 other non-specific proteins.
- Reactivity
- Human
- Host
- Rabbit
- Isotype
- IgG
- Vial size
- 0.1 ml
- Storage
- Store at 4C short term. Aliquot and store at -20C long term. Avoid freeze-thaw cycles.
Submitted references Identification of Chlamydomonas Central Core Centriolar Proteins Reveals a Role for Human WDR90 in Ciliogenesis.
Hamel V, Steib E, Hamelin R, Armand F, Borgers S, Flückiger I, Busso C, Olieric N, Sorzano COS, Steinmetz MO, Guichard P, Gönczy P
Current biology : CB 2017 Aug 21;27(16):2486-2498.e6
Current biology : CB 2017 Aug 21;27(16):2486-2498.e6
No comments: Submit comment
Supportive validation
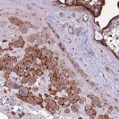
- Submitted by
- Novus Biologicals (provider)
- Main image

- Experimental details
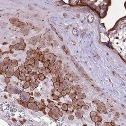
- Immunohistochemistry-Paraffin: WDR90 Antibody [NBP2-31888] - Staining of human placenta shows distinct membranous positivity in decidua cells.
- Submitted by
- Novus Biologicals (provider)
- Main image

- Experimental details
- Immunohistochemistry-Paraffin: WDR90 Antibody [NBP2-31888] - Staining of human skeletal muscle shows no positivity in myocytes as expected.
- Submitted by
- Novus Biologicals (provider)
- Main image

- Experimental details
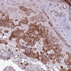
- Immunohistochemistry-Paraffin: WDR90 Antibody [NBP2-31888] - Staining of human placenta shows moderate to strong membranous positivity in decidual cells.
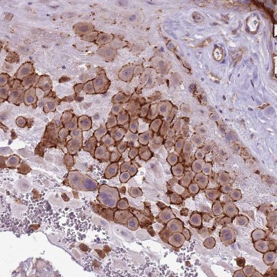
- Submitted by
- Novus Biologicals (provider)
- Main image

- Experimental details
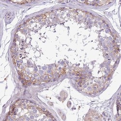
- Immunohistochemistry-Paraffin: WDR90 Antibody [NBP2-31888] - Staining of human testis shows weak to moderate membranous positivity in cells in seminiferous ducts.
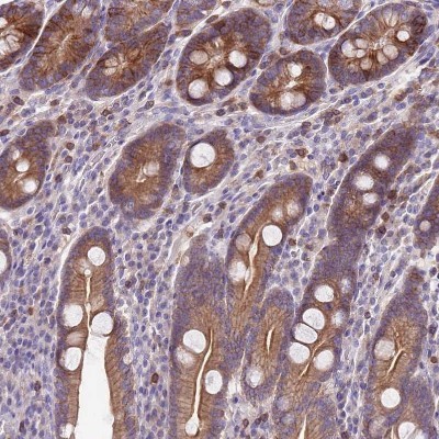
- Submitted by
- Novus Biologicals (provider)
- Main image

- Experimental details
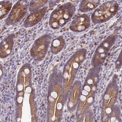
- Immunohistochemistry-Paraffin: WDR90 Antibody [NBP2-31888] - Staining of human duodenum shows weak to moderate cytoplasmic positivity in glandular cells.