PA5-61943
antibody from Invitrogen Antibodies
Targeting: WDR90
C16orf15, C16orf16, C16orf17, C16orf18, C16orf19, FLJ36483, KIAA1924, POC16
Antibody data
- Antibody Data
- Antigen structure
- References [0]
- Comments [0]
- Validations
- Immunohistochemistry [4]
Submit
Validation data
Reference
Comment
Report error
- Product number
- PA5-61943 - Provider product page

- Provider
- Invitrogen Antibodies
- Product name
- WDR90 Polyclonal Antibody
- Antibody type
- Polyclonal
- Antigen
- Recombinant protein fragment
- Description
- Immunogen sequence: FKEFKSTATW LQFPLVLEAR TPQRDLVGLA PSGARWTCLQ LDLQDVLLVY LNRCYGHLKS IRLCASLLVR NLYTSDLCFE PAISGAQWAK LPVT Highest antigen sequence identity to the following orthologs: Mouse - 70%, Rat - 59%.
- Reactivity
- Human
- Host
- Rabbit
- Isotype
- IgG
- Vial size
- 100 μL
- Concentration
- 0.1 mg/mL
- Storage
- Store at 4°C short term. For long term storage, store at -20°C, avoiding freeze/thaw cycles.
No comments: Submit comment
Supportive validation
- Submitted by
- Invitrogen Antibodies (provider)
- Main image

- Experimental details
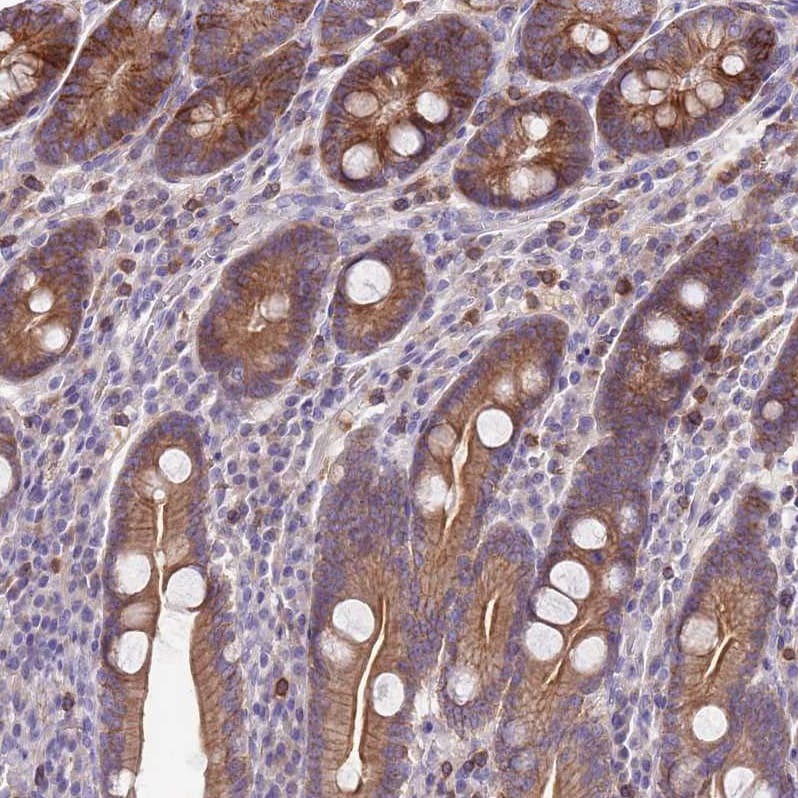
- Immunohistochemical staining of WDR90 in human duodenum using WDR90 Polyclonal Antibody (Product # PA5-61943) shows weak to moderate cytoplasmic positivity in glandular cells.
- Submitted by
- Invitrogen Antibodies (provider)
- Main image

- Experimental details
- Immunohistochemical staining of WDR90 in human placenta using WDR90 Polyclonal Antibody (Product # PA5-61943) shows moderate to strong membranous positivity in decidual cells.
- Submitted by
- Invitrogen Antibodies (provider)
- Main image

- Experimental details
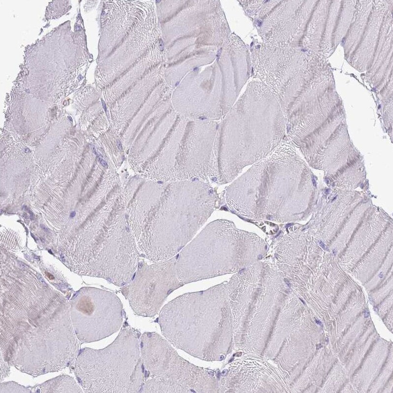
- Immunohistochemical staining of WDR90 in human skeletal muscle using WDR90 Polyclonal Antibody (Product # PA5-61943) shows no positivity in myocytes as expected.
- Submitted by
- Invitrogen Antibodies (provider)
- Main image

- Experimental details
- Immunohistochemical staining of WDR90 in human testis using WDR90 Polyclonal Antibody (Product # PA5-61943) shows weak to moderate membranous positivity in cells in seminiferous ducts.